Farmacología

Hallazgos incidentales en la resonancia magnética cerebral de niños

19 octubre 2017

El 25% de los estudios realizados en niños asintomáticos mostró al menos una anomalía, pero sólo el 0,4% requirió seguimiento clínico. Debe tenerse en cuenta la alta frecuencia de hallazgos incidentales en la interpretación de estos estudios. New England Journal of Medicine, 19 de octubre de 2017

Un ensayo clínico en pacientes con embolia cerebral interrumpido por efectos adversos

09 octubre 2017

El estudio NAVIGATE ESUS, que comparaba rivaroxabán con aspirina en baja dosis para la prevención de recurrencia de embolia cerebral de origen desconocido, se detuvo por exceso de sangrado en la rama de rivaroxabán. PharmaTimes online, 6 de octubre de 2017

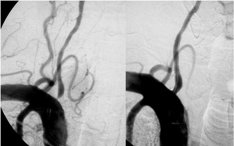
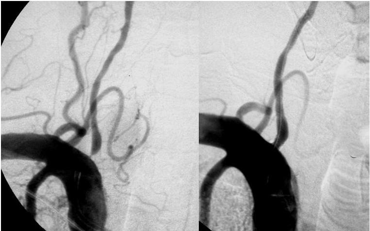
Stents en las arterias vertebrales: se precisan más estudios

09 octubre 2017

En pacientes con estenosis sintomáticas en el territorio vertebral el tratamiento con stents no fue superior al manejo médico óptimo. Neurology, 19 de septiembre de 2017

ACV: agregar oxígeno suplementario sólo si hay hipoxemia

28 septiembre 2017

En el accidente cerebrovascular suele indicarse oxigenoterapia como parte del tratamiento inicial. Este ensayo clínico muestra que el tratamiento preventivo continuo o nocturno con oxígeno tiene iguales resultados que indicarlo sólo en presencia de hipoxemia. JAMA, 26 de septiembre de 2017

Un anticuerpo monoclonal reduce infartos y accidentes cerebrovasculares

22 septiembre 2017

El canakinumab tiene efecto antiinflamatorio por su unión con interleucina-1β, y logra reducir un 15% los eventos vasculares sin modificar los niveles de lípidos. Pero se halló un aumento de sepsis e infecciones fatales, sin cambios en la mortalidad total. New England Journal of Medicine, 21 de septiembre de 2017

Categorias

Etiquetas