Farmacología

El impacto de la “infodemia” de COVID-19 en los comportamientos de utilización de medicamentos: implicaciones para la farmacovigilancia

11 agosto 2020

La “infodemia” o difusión masiva de información sobre la pandemia del coronavirus 2019 (COVID-19), a menudo sensacionalista y distorsionada, representó un desafío novedoso para las autoridades sanitarias. Esta infodemia probablemente influyó primero en los líderes de opinión y en las personas particularmente activas en las redes sociales y podría haber llevado a decisiones peligrosas sobre el uso de drogas. En este escenario, la farmacovigilancia debe enfrentar diferentes desafíos, como promover estudios clínicos y observacionales, implementar sistemas de notificación espontánea de reacciones adversas a medicamentos y detección de señales, e implementar y apoyar estrategias de comunicación de riesgos. Drug Safety, 22 junio de  2020

Elementos para la discusión pública sobre el acceso a vacunas para COVID-19

11 agosto 2020

El presente documento tiene el propósito de desarrollar algunos elementos clave para la discusión pública sobre el acceso a las vacunas para el COVID-19, que se está dando actualmente en el país y que seguramente dominará la agenda el resto del semestre. Está dividido en dos partes. La primera, busca brindar claridades conceptuales y definiciones básicas y, la segunda, hace una aproximación a los precios.Boletín DIME #19, 9 de Agosto de 2020

COVID-19 y la obesidad en la infancia y la adolescencia: una revisión clínica

10 agosto 2020

La necesidad de aislamiento social puede tener el efecto de causar o agravar la obesidad y sus comorbilidades, y los pediatras deben ser conscientes de este problema. Frente a los niños con COVID-19 sospechado o confirmado, los profesionales de la salud deben 1) diagnosticar el exceso de peso; 2) asesorar sobre la asistencia sanitaria en tiempos de aislamiento; 3) detección de comorbilidades, asegurando que el tratamiento no se interrumpa; 4) medir los niveles de inmunonutrientes; 5) orientar a la familia para que comprenda los detalles de la situación; y 6) remitir a unidades habilitadas para la atención de niños y adolescentes obesos cuando sea necesario. J Pediatr  7 de agosto de 2020

Interacciones farmacológicas: una revisión del peligro invisible de las terapias experimentales con COVID-19

07 agosto 2020

Esta revisión tiene como objetivo evaluar el riesgo de interacciones farmacológicas en el paciente gravemente enfermo con COVID-19. Las terapias experimentales se identificaron mediante la búsqueda en ClinicalTrials.gov de "COVID-19", "2019-nCoV", "2019 nuevo coronavirus" y "SARS-CoV-2". Journal of Antimicrobial Chemotherapy, 4 de agosto de 2020

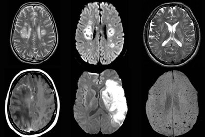
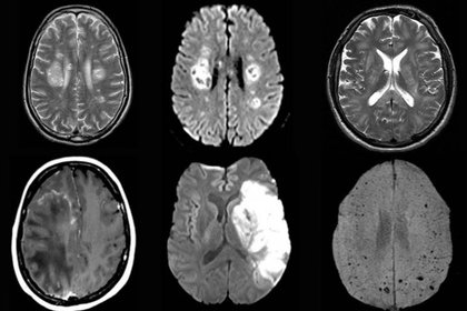
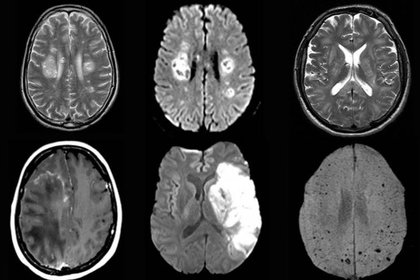
Cambios cerebrales en la resonancia magnética  a tres meses en  pacientes con COVID-19

06 agosto 2020

Unos 60 pacientes recuperados y 39 controles fueron sometidos a resonancia magnética cerebral. La cohorte COVID-19 mostró una amplia gama de diferencias con respecto a los controles, incluidos volúmenes de materia gris bilaterales significativamente más altos en las cortezas olfativas y los hipocampos. Algunas de estas diferencias se asociaron con síntomas persistentes como pérdida de memoria y olfato. Los investigadores señalan que los hallazgos indican "el potencial de neuroinvasión del SARS-CoV-2 ... incluso si los pacientes se recuperan bien de la condición de neumonía, los cambios neurológicos pueden causar una gran carga". EClinicalMedicine, 3 de agosto de 2020

Categorias

Etiquetas