Farmacología

Ninguna acción está exenta de efectos secundarios: reacciones adversas a los medicamentos y dosis omitidas de terapia antituberculosa, revisión panorámica

21 septiembre 2023

Existe amplia evidencia de que las reacciones adversas son un factor clave en la omisión de dosis de tratamiento antituberculoso. Algunos artículos examinaron reacciones adversas a medicamentos (RAM) específicas y ninguno evaluó los patrones de dosis omitidas debido a RAM, lo que demuestra un déficit de conocimiento. Saber por qué se omiten y por qué no se omiten dosis es esencial para proporcionar intervenciones específicas que mejoren los resultados del tratamiento. Br J Clin Pharmacol, 15 de septiembre de 2023

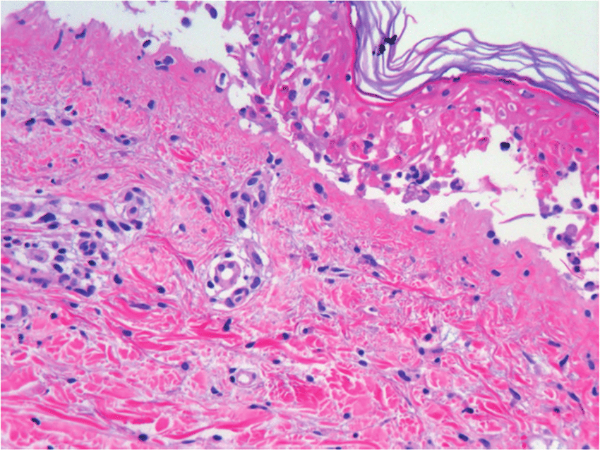
Nefrotoxicidad de la amoxicilina y las cefalosporinas de tercera generación: una revisión actualizada

14 junio 2023

En esta revisión, nos centramos en los dos principales efectos adversos renales de la amoxicilina  (AMX), a saber, la nefritis intersticial aguda y la nefropatía por cristales. Resumimos el conocimiento actual en términos de incidencia, patogenia, factores, características clínicas y diagnóstico. El propósito de esta revisión también es subrayar la probable subestimación de la nefrotoxicidad por AMX y educar a los médicos sobre el aumento reciente de la incidencia y el pronóstico renal grave asociado con la nefropatía por cristales. Drug Saf, 13 de junio de 2023

Prevalencia mundial del síndrome de Stevens-Johnson y necrólisis epidérmica tóxica asociados a antibióticos

24 febrero 2023

En esta revisión sistemática y metanálisis de todas las series de casos, los antibióticos se asociaron con más de una cuarta parte de los casos de síndrome de Stevens-Johnson y la necrólisis epidérmica tóxica descritos en todo el mundo. La clase de sulfonamida se asoció con el 32 % de los casos, seguida de las penicilinas (22 %), las cefalosporinas (11 %), las fluoroquinolonas (4 %) y los macrólidos (2 %). Estos hallazgos resaltan la importancia de la administración de antibióticos, la educación y la concientización de los médicos, y sopesar la evaluación de riesgo-beneficio de la elección y duración de los antibióticos. JAMA Dermatol. 15 de febrero de 2023

Lesión de hombro relacionada con la administración de vacunas: ¿Qué sabemos sobre su incidencia e impacto?

26 octubre 2022

los números de informes de casos de lesión en el hombro relacionada con la administración de la vacuna (SIRVA)  y la incidencia de los datos de COVID-19, en comparación con la evidencia anterior, plantean dudas sobre el conocimiento de los profesionales de la salud y la precisión de los informes de SIRVA. Las tasas de recuperación son poco conocidas. Se requiere una definición de consenso mundial de SIRVA y un informe más transparente y rutinario. La representación desproporcionada de mujeres es motivo de preocupación sin razones conocidas para esta disparidad. Se necesita más investigación sobre el conocimiento de SIRVA en los profesionales de la salud, las tasas de notificación, la incidencia, el manejo y los resultados a largo plazo para los afectados. Los farmacéuticos vacunadores deben ser conscientes de su papel en la prevención de SIRVA y ser activos en su detección. Explor Res Clin Soc Pharm. 26 de septiembre de 2022

Asociación entre el inicio de fluoroquinolonas y el ingreso hospitalario o la visita al servicio de urgencias por tendencias suicidas

05 octubre 2022

En este estudio de cohorte basado en la población, el inicio de las fluoroquinolonas no se asoció con un riesgo sustancialmente mayor de ingreso al hospital o visitas al departamento de emergencias por tendencias suicidas en comparación con azitromicina o trimetoprima-sulfametoxazol. BMJ 4 de octubre de 2022

Categorias

Etiquetas