Farmacología
¿Es confiable el informe de efectos adversos en los ensayos clínicos de nuevos fármacos?
17 agosto 2016
La comparación del registro de eventos adversos entre los protocolos, los informes completos de los ensayos clínicos y la publicaciones correspondientes muestra diferencias importantes. PLoS Medicine, 16 de agosto de 2016
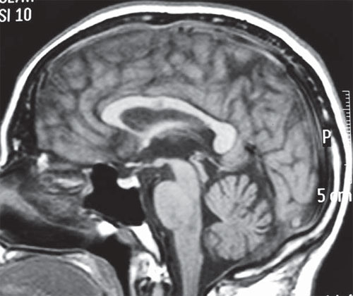
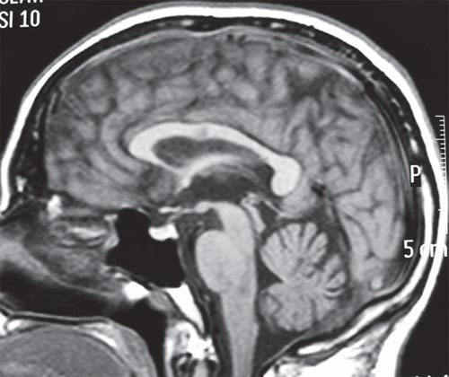
Fenitoína: los niveles séricos elevados pueden producir atrofia cerebelosa
02 agosto 2016
EMC, 1º de agosto de 2016
Belimumab, Deferasirox y Trabedectin: nuevas advertencias de seguridad en el Reino Unido
27 julio 2016
Se incorporan nuevos efectos adversos en el prospecto de estos medicamentos emc, 26 de julio de 2016
Fármacos que pueden provocar o exacerbar la insuficiencia cardíaca
12 julio 2016
Un listado exhaustivo de la American Heart Association, que vale la pena repasar. Circulation, 11 de julio de 2016
Anticoagulantes orales no antagonistas de la vitamina K: riesgo de hemorragia digestiva
04 julio 2016