Farmacología

Prevalencia mundial del síndrome de Stevens-Johnson y necrólisis epidérmica tóxica asociados a antibióticos

24 febrero 2023

En esta revisión sistemática y metanálisis de todas las series de casos, los antibióticos se asociaron con más de una cuarta parte de los casos de síndrome de Stevens-Johnson y la necrólisis epidérmica tóxica descritos en todo el mundo. La clase de sulfonamida se asoció con el 32 % de los casos, seguida de las penicilinas (22 %), las cefalosporinas (11 %), las fluoroquinolonas (4 %) y los macrólidos (2 %). Estos hallazgos resaltan la importancia de la administración de antibióticos, la educación y la concientización de los médicos, y sopesar la evaluación de riesgo-beneficio de la elección y duración de los antibióticos. JAMA Dermatol. 15 de febrero de 2023

Riesgo de caída inducido por medicamentos en pacientes mayores

22 diciembre 2022

En este estudio de farmacovigilancia de la base de datos del sistema de notificación de eventos adversos de la FDA, muchos medicamentos se asociaron con un alto riesgo de caídas en pacientes mayores. El medicamento es uno de los factores críticos y prevenibles para el control de caídas, y el nivel de riesgo de caídas inducidas por medicamentos debe considerarse para optimizar la terapia con medicamentos en la práctica clínica. Front Pharmacol. 29 de noviembre de 2022

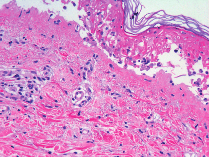
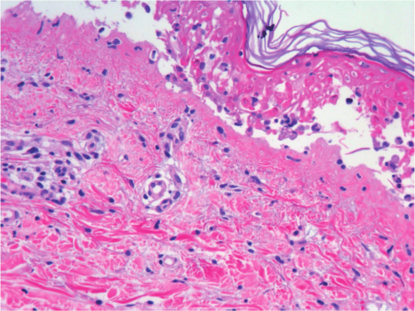
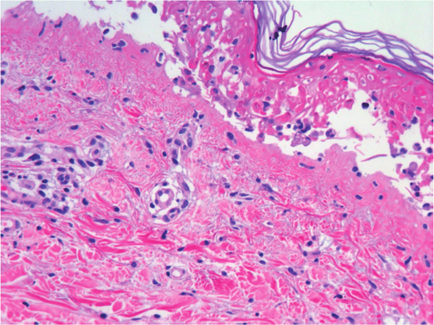
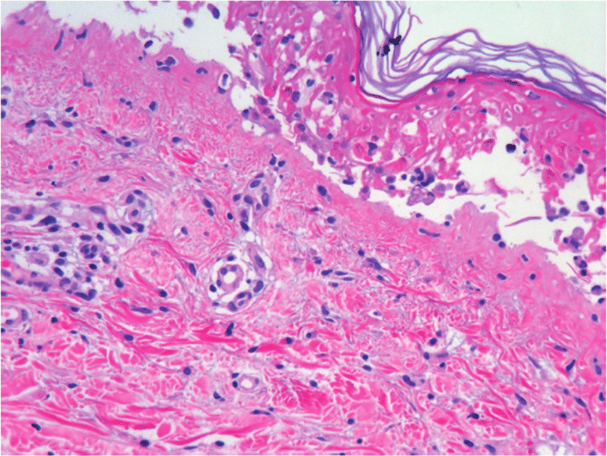
Necrólisis Epidérmica Tóxica: Revisión Clínica y Terapéutica

07 diciembre 2022

En general, su etiología y presentación son consensuadas, definiéndose como una necrólisis generalizada de la epidermis que se produce como una respuesta inmune descontrolada a un fármaco específico o a uno de sus metabolitos, destacando el cotrimoxazol y el alopurinol como los más importantes. Esta necrólisis conduce a un desprendimiento masivo de la capa epidérmica de la piel, con mayor incidencia en el torso, miembros superiores y cara. Eur. Burn J. 8 agosto 2022

Asociación de tratamientos farmacológicos y hospitalización y muerte en individuos con trastornos por consumo de anfetaminas

18 noviembre 2022

En este estudio en una cohorte nacional sueca de 13 965 pacientes, el uso de lisdexanfetamina se asoció con mejores resultados en personas con trastornos por consumo de anfetamina o metanfetamina, lo que alentó la realización de ensayos clínicos aleatorios. El uso de benzodiazepinas recetadas se asoció con malos resultados. JAMA Psychiatry, 16 de noviembre de 2022

Diferencias de sexo en las reacciones adversas a los medicamentos: ¿Están más afectadas las mujeres?

24 octubre 2022

Muchos estudios muestran un mayor riesgo en las mujeres para la mayoría de los medicamentos que implican diferencias sexuales. Sin embargo, se deben tener en cuenta aspectos fisiológicos, metodológicos y subjetivos para interpretar estos resultados. Los ensayos clínicos también deben inscribir a más mujeres para evaluar mejor las diferencias sexuales tanto en eficacia como en farmacovigilancia. Therapies, 5 de octubre de 2022

Categorias

Etiquetas