Farmacología

IBP y neumonía adquirida en la comunidad: ¿hay una relación causal?

17 noviembre 2016

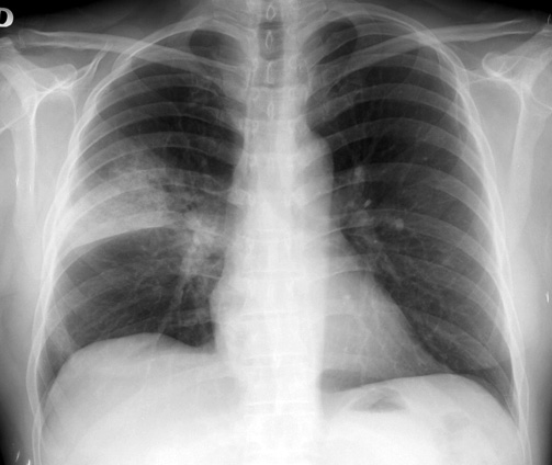
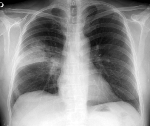
El uso de los inhibidores de la bomba de protones (IBP) se asocia a un aumento de neumonías en pacientes ambulatorios, pero el riesgo podría explicarse por factores de confusión. BMJ, 15 de noviembre de 2016

Antipsicóticos y riesgo de infarto de miocardio

15 noviembre 2016

British Journal of Clinical Pharmacology, septiembre de 2016

Se suspende el desarrollo de bococizumab, un inhibidor de PCSK9

02 noviembre 2016

El anuncio de Pfizer refuerza la importancia de conocer la eficacia sobre los resultados cardiovasculares de los medicamentos de esta clase farmacológica, antes de poder establecer su lugar en la terapéutica. 1º de noviembre de 2016

Seguridad de la vacuna dTpa durante el embarazo

02 noviembre 2016

No se halló relación de la vacuna triple bacteriana con pertussis acelular durante el embarazo con la ocurrencia de malformaciones congénitas. JAMA, 1º de noviembre de 2016

Categorias

Etiquetas