Farmacología

Medicamentos para la tos y el resfriado que contienen folcodina: retirada del mercado del Reino Unido como medida de precaución

23 marzo 2023

Los medicamentos para la tos y el resfriado que contienen folcodina se están retirando del mercado del Reino Unido como medida de precaución luego de una revisión que encontró que sus beneficios no superan el mayor riesgo del evento muy raro de anafilaxia a los agentes bloqueantes neuromusculares (ABNM) utilizados en la anestesia general. MHRA, 14 de marzo de 2023

Osteonecrosis de la mandíbula inducida por medicamentos:    revisión de casos del Sistema de notificación de eventos adversos (FAERS) de la FDA

07 marzo 2023

Si bien los criterios de inclusión más estrictos y la eliminación de casos duplicados dieron lugar a menos casos identificados de osteonecrosis de la mandíbula relacionada con medicamentos (ONMRM) en general en comparación con investigaciones anteriores, nuestros datos representan un análisis más confiable de los informes de ONMRM a la base de datos FAERS. Denosumab fue el medicamento más frecuentemente asociado con la ONM. Si bien no podemos implicar las tasas de incidencia de nuestros datos debido a la naturaleza de la base de datos FAERS, nuestros hallazgos brindan una descripción más detallada de los diversos medicamentos asociados con la ONM y aclaran los datos demográficos de los pacientes asociados con la RAM. Además, nuestro estudio identifica casos de varias drogas y clases de drogas recientemente descritas que no se han descrito previamente en la literatura. BMC Pharmacol Toxicol, 6 de marzo de 2023

Asociación entre los inhibidores de la bomba de protones y el riesgo de rabdomiólisis: vigilancia postcomercialización utilizando la base de datos del sistema de notificación de eventos adversos (FAERS) de la FDA

07 marzo 2023

Las señales significativas de rabdomiólisis se asociaron con los inhibidores de la bomba de protones. Sin embargo, sus señales fueron más altas en los informes que no incluían estatinas en comparación con los informes que incluían estatinas. Ther Adv Drug Safe, 27 de febrero de 2023

Tratamiento con inhibidores del cotransportador de sodio-glucosa-2 (iSGLT2) y riesgo de osteomielitis: un estudio de farmacovigilancia de la base de datos FAERS

06 marzo 2023

esta investigación de extracción de datos reveló una fuerte asociación entre el tratamiento con canagliflozina y el desarrollo de osteomielitis que podría ser una advertencia crucial para la amputación de las extremidades inferiores. Se necesitan más estudios con datos actualizados para caracterizar mejor el riesgo de osteomielitis asociada con inhibidores del cotransportador de sodio-glucosa-2. Front Pharmacol. 14 de febrero de 2023

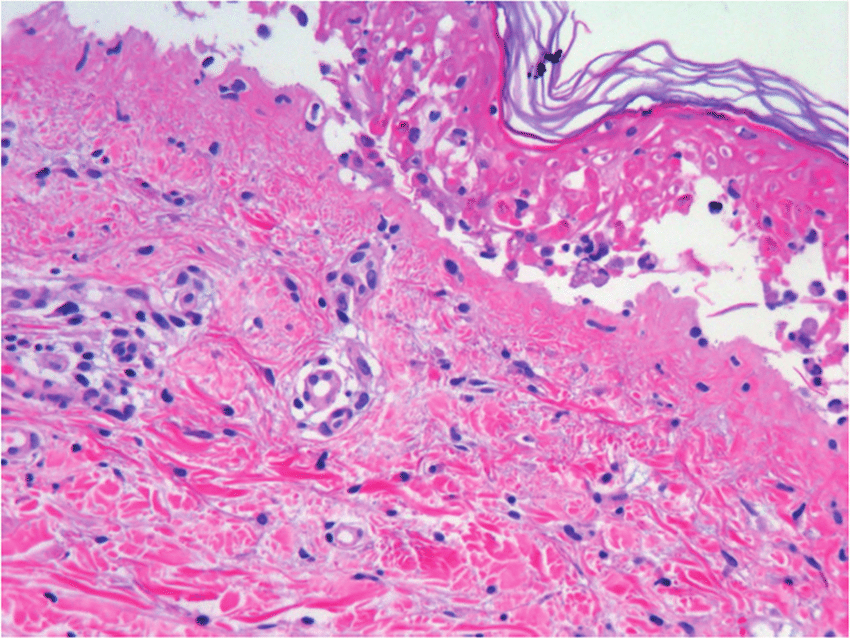
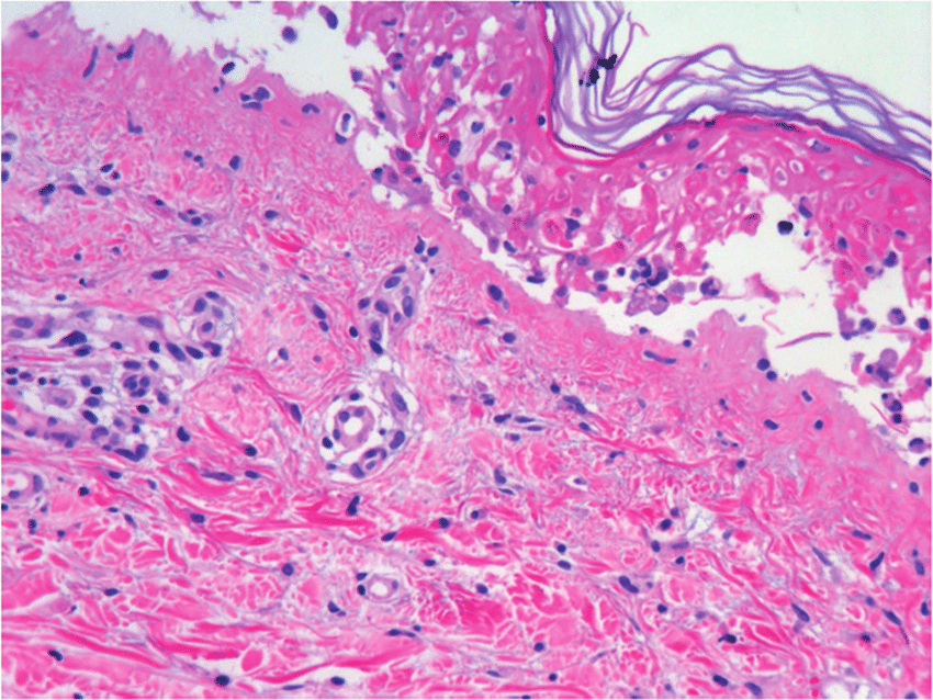
Prevalencia mundial del síndrome de Stevens-Johnson y necrólisis epidérmica tóxica asociados a antibióticos

24 febrero 2023

En esta revisión sistemática y metanálisis de todas las series de casos, los antibióticos se asociaron con más de una cuarta parte de los casos de síndrome de Stevens-Johnson y la necrólisis epidérmica tóxica descritos en todo el mundo. La clase de sulfonamida se asoció con el 32 % de los casos, seguida de las penicilinas (22 %), las cefalosporinas (11 %), las fluoroquinolonas (4 %) y los macrólidos (2 %). Estos hallazgos resaltan la importancia de la administración de antibióticos, la educación y la concientización de los médicos, y sopesar la evaluación de riesgo-beneficio de la elección y duración de los antibióticos. JAMA Dermatol. 15 de febrero de 2023

Categorias

Etiquetas