Farmacología

Retinoides: malformaciones congénitas, efectos neuropsiquiátricos y disfunción sexual

23 mayo 2018

Butlletí de Farmacovigilància de Catalunya, 23 de mayo de 2018 Recientemente, la Agencia Europea del Medicamento (EMA), después de revisar la información disponible sobre el riesgo de malformaciones congénitas de los retinoides y los datos de seguimiento del programa de prevención de embarazo establecido en los países de la UE, así como la información sobre el riesgo de trastornos neuropsiquiátricos, ha recomendado actualizar las medidas para evitar la exposición a los retinoides durante el embarazo y las advertencias sobre sus efectos neuropsiquiátricos (depresión, ansiedad, alteraciones del humor o del comportamiento, etc.

Recomendaciones alimentarias contradictorias en los prospectos de fármacos oncológicos orales: ¿presentan riesgos para la atención del paciente?

15 marzo 2018

Eur J Clin Pharmacol, 13 de marzo de 2018 Las recomendaciones alimentarias en conflicto entre autoridades reguladoras podrían tener un gran impacto en el tratamiento contra el cáncer y la calidad de vida de los pacientes, lo que llevaría a resultados clínicos subóptimos. Considerada como la fuente más importante de instrucciones de dosificación, la información de etiquetado debe recalibrarse regularmente para proporcionar instrucciones coherentes e informativas para la ingesta de medicamentos en relación con las comidas, minimizar las interacciones involuntarias con las comidas y mejorar el cumplimiento y la adherencia del paciente.

Comparación de nuevos medicamentos aprobados por la FDA, la EMA y Swissmedic: una evaluación de la armonización internacional de drogas

26 febrero 2018

Eur J Clin Pharmacol, 22 de febrero de 2018 Hubo diferencias en las características de los nuevos medicamentos aprobados por la EMA, la FDA y SMC en el período 2007-2016. En general, dos tercios de los nuevos medicamentos fueron aprobados por primera vez por la FDA. Las diferencias en las indicaciones se encontraron en tres de cuatro nuevos medicamentos aprobados por las tres agencias reguladoras. A pesar de los esfuerzos internacionales de armonización de la regulación de medicamentos, persisten diferencias significativas en las características de los nuevos medicamentos aprobados por diferentes agencias.

Registros en la vigilancia postcomercialización europea: un análisis retrospectivo de los productos aprobados por vía centralizada, 2005-2013.

13 julio 2017

Pharmacoepidemiol Drug Saf. 2017 los retrasos en la puesta en marcha de los nuevos registros apoyan la necesidad de mejorar la puntualidad de la recopilación de datos en el contexto posterior a la comercialización

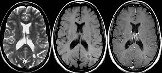
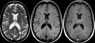
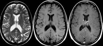
Recomiendan suspender la comercialización en Europa de algunos contrastes con gadolinio

14 marzo 2017

El área de farmacovigilancia de la Agencia Europea de Medicamentos encuentra evidencia de depósitos de gadolinio en el sistema nervioso, aunque no están bien definidas sus consecuencias. EMA, 10 de marzo de 2017

Categorias

Etiquetas