Farmacología

Coordinando el cumplimiento de reealización de ensayos clínicos para confirmar la seguridad y eficacia de los medicamentos: resolución de incertidumbres

10 enero 2019

JAMA Intern Med. 4 de enero de 2019 ¿Cómo sabemos si un medicamento funciona? En los Estados Unidos, la Administración de Medicamentos y Alimentos de los Estados Unidos (FDA, por sus siglas en inglés) ha establecido una guía para informar el desarrollo de medicamentos, incluidas las pruebas para establecer la seguridad y eficacia de una indicación clínica específica, antes de la aprobación del mercado. Sin embargo, una vez aprobado, los médicos pueden recetar el medicamento para cualquier indicación clínica, no solo la que recibió la aprobación de la FDA. Esto se conoce como prescripción off-label.

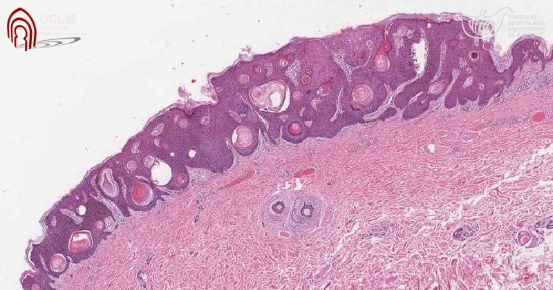
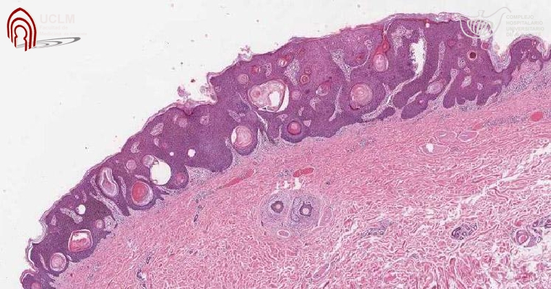
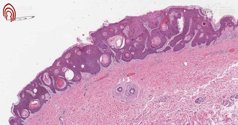
Peróxido de hidrógeno 40% (Eskata) para queratosis seborreicas

10 enero 2019

Jama , 8 de enero de 2019 La FDA ha aprobado una solución tópica de peróxido de hidrógeno al 40% (Eskata - Aclaris Therapeutics) para el tratamiento de las queratosis seborreicas elevadas (QS) en adultos. Es el primer fármaco aprobado para esta indicación. (El peróxido de hidrógeno está disponible sin receta para uso tópico como solución al 3%).

Fluoroquinolonas orales y riesgo de fibromialgia.

24 octubre 2018

BJCP 14 de septiembre de 2018 La Administración de Medicamentos y Alimentos (FDA, por sus siglas en inglés) ha incluido recientemente una advertencia de recuadro negro sobre los síntomas similares a la fibromialgia con fluoroquinolonas . Este e4studio de casos y controles concluye que el riesgo de fibromialgia con FQ es similar al de la amoxicilina y la azitromicina.

Cambios en el etiquetado y costos de los ensayos clínicos realizados bajo la Extensión de exclusividad pediátrica de la Administración de Medicamentos y Alimentos de EE. UU., De 2007 a 2012

26 septiembre 2018

JAMA Intern Med. 24 de septiembre de 2018 Los ensayos clínicos realizados bajo el programa de exclusividad pediátrica de la Administración de Medicamentosy Alimentos de EE. UU. han proporcionado información importante sobre la efectividad y la seguridad de los medicamentos utilizados en niños. Los costos para los consumidores han sido altos, superando los costos de inversión estimados para la realización de los ensayos. Como alternativa, los diseñadores de políticas deberían considerar el financiamiento directo de dichos estudios.

Alerta por el uso de cigarrillos electrónicos entre los jóvenes

13 septiembre 2018

La FDA reacciona frente a un fuerte aumento de la promoción de estos productos dirigida a los adolescentes, considerando que funciona como puerta de entrada para la adicción a la nicotina. FDA, 12 de septiembre de 2018

Categorias

Etiquetas