Farmacología

ANMAT emite nueva normativa para garantizar el abastecimiento de especialidades medicinales.

08 marzo 2017

ANMAT, 2 de marzo de 2017 Los laboratorios que quieran discontinuar la elaboración o importación de un medicamento, tenga o no un similar en el mercado, deberán notificar la decisión seis meses antes de hacerla efectiva a la ANMAT, además de garantizar su provisión durante este lapso, según una resolución publicada el 2 de marzo en el Boletín Oficial.

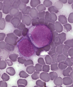
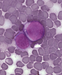
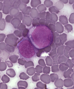
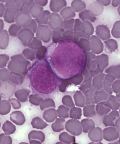
Evaluación de la eficacia y seguridad de la Midostaurina (M) en el tratamiento de la Leucemia Mieloide Aguda.

08 marzo 2017

ANMAT 22 de febrero de 2017 en este documento se presenta la evaluación para autorizar el uso de Midostaurina a través del Régimen de Acceso de Excepción a Medicamentos (RAEM)

Categorias

Etiquetas