Farmacología

Exposición a la tomografía computarizada antes del embarazo y riesgo de pérdida del embarazo y anomalías congénitas

10 septiembre 2025

La exposición a imágenes de tomografía computada hasta 4 semanas previas a la concepción puede estar asociada con un mayor riesgo de aborto espontáneo y de anomalías congénitas, pero los mecanismos causales aún no se han dilucidado. Se deben considerar métodos de imagen alternativos cuando sea apropiado. Annals of Internal Medicine, 9 de septiembre de 2025.

Riesgo de cáncer a lo largo de la vida atribuible a la realización actual de tomografías computadas

16 abril 2025

Los hallazgos de este estudio sugieren que si continúan las prácticas actuales de indicación y dosificación de la radiación, los cánceres asociados a la TC podrían llegar a representar el 5% de todos los nuevos diagnósticos de cáncer. JAMA Internal Medicine, 14 de abril de 2025.

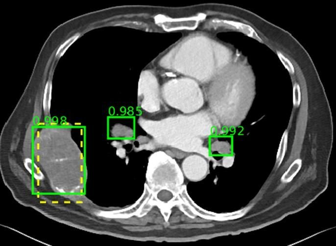
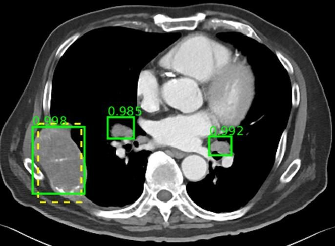
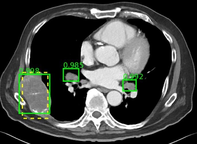
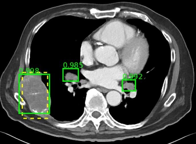
Percepción de la inteligencia artificial en la comunidad radiológica argentina

05 noviembre 2024

Aunque el grado de conocimiento acerca de la IA en la comunidad radiológica argentina es moderado, encontramos un alto interés y expectativas, y un bajo nivel de miedo o rechazo. Las sociedades radiológicas argentinas deberían desarrollar cursos de formación en IA. Rev Argent Radiol. 2024

Radiación ionizante y enfermedad cardiovascular: revisión sistemática y metanálisis

10 marzo 2023

Los resultados proporcionan evidencia que respalda una asociación causal entre la exposición a la radiación y la enfermedad cardiovascular en dosis altas y, en menor medida, en dosis bajas, con algunas indicaciones de diferencias en el riesgo entre exposiciones agudas y crónicas, que requieren más investigación. La heterogeneidad observada complica una interpretación causal de estos hallazgos, aunque esta heterogeneidad se reduce mucho si solo se consideran estudios de mayor calidad o aquellos con dosis moderadas o tasas de dosis bajas. Se necesitan estudios para evaluar con más detalle las modificaciones del efecto de la radiación según el estilo de vida y los factores de riesgo médicos. BMJ , 8 de marzo de 2023

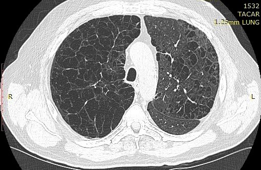
Presencia de enfisema por tomografía computada con espirometría normal

21 julio 2022

El enfisema a menudo está presente antes de que los resultados de la espirometría se vuelvan anormales, particularmente entre los hombres negros. Confiar únicamente en la espirometría para diferenciar la salud pulmonar de la enfermedad pulmonar puede resultar en un insuficiente reconocimiento del deterioro de la salud respiratoria. Annals of Internal Medicine, 19 de julio de 2022.

Categorias

Etiquetas