Farmacología

Interacciones farmacológicas: una revisión del peligro invisible de las terapias experimentales con COVID-19

07 agosto 2020

Esta revisión tiene como objetivo evaluar el riesgo de interacciones farmacológicas en el paciente gravemente enfermo con COVID-19. Las terapias experimentales se identificaron mediante la búsqueda en ClinicalTrials.gov de "COVID-19", "2019-nCoV", "2019 nuevo coronavirus" y "SARS-CoV-2". Journal of Antimicrobial Chemotherapy, 4 de agosto de 2020

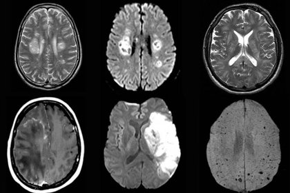
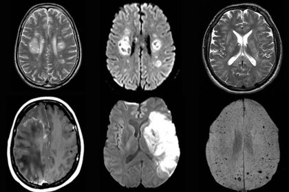
Cambios cerebrales en la resonancia magnética  a tres meses en  pacientes con COVID-19

06 agosto 2020

Unos 60 pacientes recuperados y 39 controles fueron sometidos a resonancia magnética cerebral. La cohorte COVID-19 mostró una amplia gama de diferencias con respecto a los controles, incluidos volúmenes de materia gris bilaterales significativamente más altos en las cortezas olfativas y los hipocampos. Algunas de estas diferencias se asociaron con síntomas persistentes como pérdida de memoria y olfato. Los investigadores señalan que los hallazgos indican "el potencial de neuroinvasión del SARS-CoV-2 ... incluso si los pacientes se recuperan bien de la condición de neumonía, los cambios neurológicos pueden causar una gran carga". EClinicalMedicine, 3 de agosto de 2020

Sero Tracker: el mapa de los estudios de seroprevalencia del SARS-CoV-2

06 agosto 2020

Un sitio web rastrea los estudios de seroprevalencia de todo el mundo y los presenta en formato gráfico para facilitar el análisis y las comparaciones. The Lancet Infectious Diseases, 4 de agosto de 2020.

Complicaciones respiratorias a largo plazo de Covid-19

05 agosto 2020

las complicaciones respiratorias persistentes después de Covid-19 pueden causar una importante morbilidad en la población, y el manejo óptimo sigue sin estar claro. Se están realizando estudios prospectivos para evaluar aún más estas complicaciones e identificar a las personas con mayor riesgo. Mientras tanto, un enfoque pragmático para el manejo de la atención primaria podría incluir investigaciones de primera línea, tales como radiografías de tórax y mediciones de saturación de oxígeno, con referencia a la atención secundaria donde la patología pulmonar necesita investigación. BMJ , 3 de agosto de 2020

Dióxido de cloro: ANMAT recomienda no consumir medicamentos no autorizados

05 agosto 2020

Debido a la circulación de información en redes sociales y medios digitales relacionados a la utilización de dióxido de cloro para el tratamiento de COVID-19 u otras enfermedades, se recuerda que el producto mencionado no cuenta con estudios que demuestren su eficacia y no posee autorización alguna por parte de este organismo para su comercialización y uso.  ANMAT, 4 de agosto de 2020.

Categorias

Etiquetas