Farmacología

Trastuzumab (HERCEPTIN®): Recordatorio de la importancia de la monitorización cardíaca

23 marzo 2017

Roche Farma S.A.U (España), 22 de marzo de 2017 Esta carta "Estimado doctor" recuerda la Importancia de una adecuada monitorización cardiaca en los pacientes tratados con Herceptin (trastuzumab), a la hora de asegurar un adecuado manejo de la disfunción ventricular izquierda y de la insuficiencia cardíaca congestiva (ICC).

Prescrire: medicamentos a evitar - 2017

22 marzo 2017

Por quinto año la revista francesa independiente Prescrire ha publicado su revisión de medicamentos que se deberían evitar por tener una relación beneficio-riesgo desfavorable o existir alternativas más seguras. Salud Castilla y León, 9 de febrero de 2017

Efectos adversos renales de los inhibidores de la bomba de protones

14 marzo 2017

Los inhibidores de la bomba de protones se asocian al desarrollo de enfermedad renal crónica, no siempre mediada por una lesión renal aguda previa. Kidney International, febrero de 2017

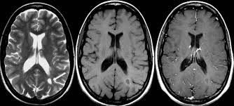
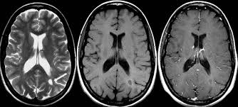
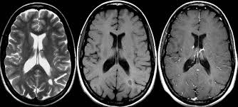
Recomiendan suspender la comercialización en Europa de algunos contrastes con gadolinio

14 marzo 2017

El área de farmacovigilancia de la Agencia Europea de Medicamentos encuentra evidencia de depósitos de gadolinio en el sistema nervioso, aunque no están bien definidas sus consecuencias. EMA, 10 de marzo de 2017

Meropenem /Olanzapina / Tadalafilo: nuevas advertencias de seguridad en el Reino Unido

14 marzo 2017

Meropenem: Síndrome DRESS / Olanzapina: síndrome de piernas inquietas / Tadalafilo: sordera súbita emc, 10 de marzo de 2017

Categorias

Etiquetas