Farmacología

Actualización en el tratamiento del asma grave en adultos

04 diciembre 2019

SubtitlButlletí d’informació terapèutica, BIT. Vol. 30, núm. 7, 2019Cat Salut, 2 de dciembre de 2019 e

Evolución a corto plazo de la lesión pulmonar asociada con los e-cigarrillos o el vapeo

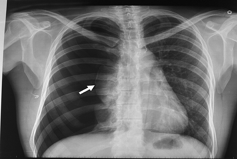
13 noviembre 2019

Lancet, 8 de noviembre de 2019    La lesión pulmonar asociada con los cigarrillos electrónicos o el vapeo es una enfermedad emergente asociada con una lesión pulmonar grave y síntomas constitucionales y gastrointestinales. El aumento de la detección ha llevado a la identificación de un amplio espectro de gravedad de la enfermedad en pacientes que fueron tratados con antibióticos y esteroides. A pesar de la mejoría, en el seguimiento a corto plazo, muchos pacientes tienen anormalidades residuales. La lesión pulmonar asociada con los cigarrillos electrónicos o el vapeo sigue siendo un diagnóstico clínico con síntomas que se superponen a enfermedades infecciosas y otras enfermedades pulmonares. Es importante mantener un alto índice de sospecha de esta enfermedad a medida que continúa el trabajo para comprender la causa o causas, la terapia óptima y los resultados a largo plazo de estos pacientes.

Bronquitis aguda: abordaje

07 noviembre 2019

Ojo de Markov número ochenta y cinco - septiembre 2019 Sacyl , 4 de octubre de 2019

Se publican los datos definitivos de la Encuesta Nacional de Factores de Riesgo 2019

28 octubre 2019

Una vez más se confirma el aumento del exceso de peso, sedentarismo y diabetes en la población argentina, con valores estables de hipertensión y de colesterol elevado, y descenso del tabaquismo y de la exposición al humo del cigarrillo ajeno. Ministerio de Salud y Acción Social, octubre de 2019

Intervenciones para dejar de fumar progresivas respecto de las abruptas

22 octubre 2019

Existe evidencia de certeza moderada de que no hay diferencias para dejar de fumar a largo plazo entre las intervenciones de reducción progresiva o las abruptas. También hay evidencia de baja certeza que sugiere que las intervenciones de reducción para dejar de fumar pueden ser más efectivas cuando se usa la farmacoterapia como ayuda, particularmente la terapia sustitutiva con nicotina de acción rápida o vareniclina (evidencia de certeza moderada).Cochrane Database of Systematic Reviews 30 de septiembbre de 2019

Categorias

Etiquetas