Farmacología

Pagos generales de Biogen a médicos estadounidenses entre 2015 y 2020

13 junio 2022

Los pagos financieros son una estrategia de marketing generalizada utilizada por las compañías farmacéuticas y no se limitan a los médicos, sino a las partes interesadas de la medicina, como academias nacionales,8 editores de revistas, enfermeras practicantes y asistentes médicos. Además, más de dos tercios del Congreso de los EE. UU. recibió pagos de las principales compañías farmacéuticas en 2020, como Pfizer, Amgen, Biogen, entre otras. Esto es preocupante, ya que numerosos estudios han encontrado que los pagos financieros influyen en el comportamiento hacia una mayor prescripción, prescripciones más costosas y un mayor uso de medicamentos de marca. En el caso de aducanumab, los incentivos para aumentar la prescripción exacerbarían los impactos negativos previstos en el sistema de salud y los pacientes en todo el país. J Am Geriatr Soc. 4 de junio de 2022

¿Es seguro y eficaz el trasplante de células madre en la esclerosis múltiple?

10 junio 2022

evidencia muy limitada de dos pequeños ensayos controlados aleatorios muestra que el trasplante autólogo de células madre hematopoyéticas  puede retrasar la actividad de la enfermedad y la progresión de la discapacidad en algunos pacientes, pero no se sabe cómo se compara esto con las terapias modificadoras de la enfermedad más nuevas y altamente efectivas. BMJ 9 de junio de 2022

Asociación del tiempo sedentario y la actividad física medidos con acelerómetro con el riesgo de accidente cerebrovascular entre adultos de EE. UU.

06 junio 2022

Conclusiones y relevancia En este estudio de cohortes, la actividad física de intensidad liviana (AFIL), la actividad física de intensidad moderada a vigorosa (AFMV) y el tiempo sedentario medidos objetivamente se asociaron de manera significativa e independiente con el riesgo de accidente cerebrovascular incidente. La duración más prolongada del período sedentario también se asoció de forma independiente con un mayor riesgo de accidente cerebrovascular incidente. Estos hallazgos sugieren que reemplazar el tiempo sedentario con AFIL, o incluso episodios muy cortos de AFMV, puede reducir el riesgo de accidente cerebrovascular, lo que respalda el concepto de moverse más y sentarse menos como una estrategia beneficiosa de reducción del riesgo de accidente cerebrovascular entre adultos. JAMA Netw Open , 3 de junio de 2022

Nuevos medicamentos biológicos en la profilaxis de la migraña

23 mayo 2022

La profilaxis de la migraña está indicada en los pacientes que presentan tres o más crisis de migraña al mes, crisis prolongadas que duran días, crisis muy intensas, escasa respuesta o intolerancia al tratamiento sintomático, auras prolongadas o no típicas, o en los pacientes que presentan una crisis epiléptica durante una crisis de migraña.  A los múltiples medicamentos disponibles para la profilaxis de la migraña, se han añadido, desde 2018, tres anticuerpos monoclonales de un nuevo grupo terapéutico: erenumab (▼Aimovig®), fremanezumab (▼Ajovy®) y alcanezumab(▼Emgality®). En este número se revisan los datos de seguridad de estos medicamentos.  Boletín de Farmacovigilancia de Cataluña, mayo de 2022

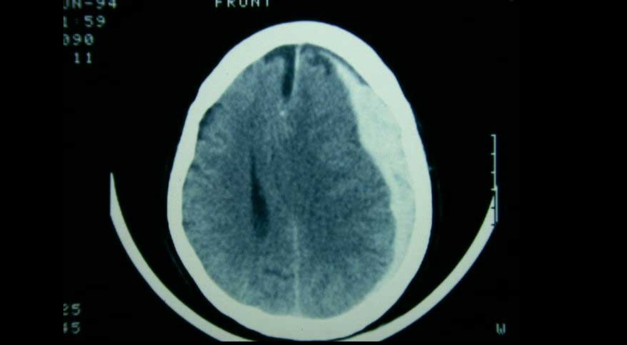
Evacuación inicial o tratamiento conservador en el hematoma subdural agudo

09 mayo 2022

El tratamiento de pacientes con hematoma subdural agudo difiere según el centro de tratamiento, debido a la variación en el abordaje preferido. Una estrategia de tratamiento que prefirió un enfoque agresivo de evacuación quirúrgica aguda sobre el tratamiento conservador inicial no se asoció con un mejor resultado funcional. The Lancet Neurology, 5 de mayo de 2022.

Categorias

Etiquetas