Farmacología

Efecto del colirio de atropina de baja concentración frente al placebo en la incidencia de miopía en niños. Ensayo clínico aleatorizado LAMP2

16 febrero 2023

Entre los niños de 4 a 9 años sin miopía, el uso nocturno de colirios de atropina al 0,05 % en comparación con el placebo resultó en una incidencia significativamente menor de miopía y un porcentaje menor de participantes con un cambio rápido de miopía a los 2 años. No hubo diferencia significativa entre la atropina al 0,01% y el placebo. Se necesita más investigación para replicar los hallazgos, para comprender si esto representa un retraso o una prevención de la miopía, y para evaluar la seguridad a largo plazo. JAMA.  14 de febrero  de 2023

Prevención  de las complicaciones de la retinopatía diabética con aflibercept

09 febrero 2023

En pacientes con retinopatía diabética no proliferativa y sin edema macular diabético con compromiso central, el tratamiento de 4 años con aflibercept comparado con un tratamiento simulado (en el que se iniciaba aflibercept solo si se desarrollaban complicaciones que amenazaran la visión) resultó en una mejora anatómica estadísticamente significativa pero sin beneficios en la agudeza visual. Aflibercept puede no estar justificado como estrategia preventiva en estos pacientes. JAMA, 7 de febrero de 2023.

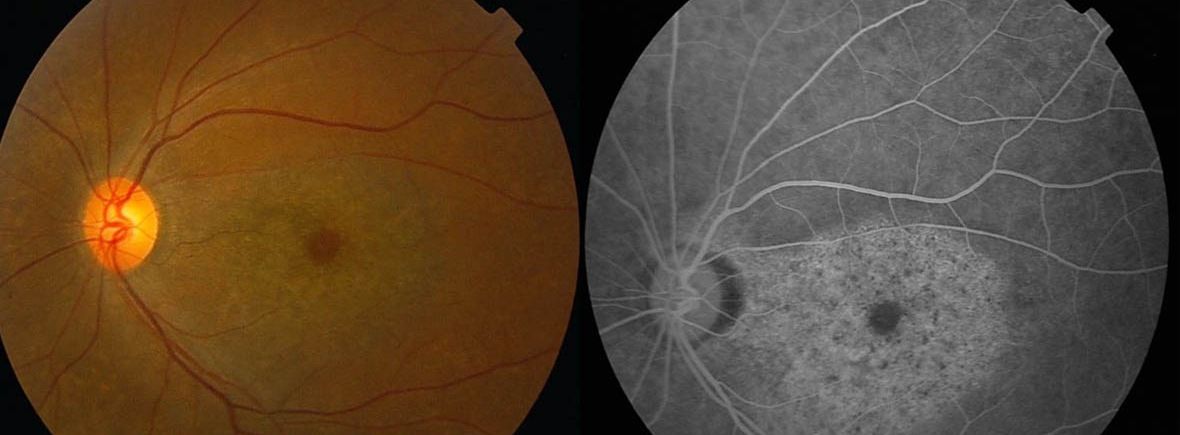
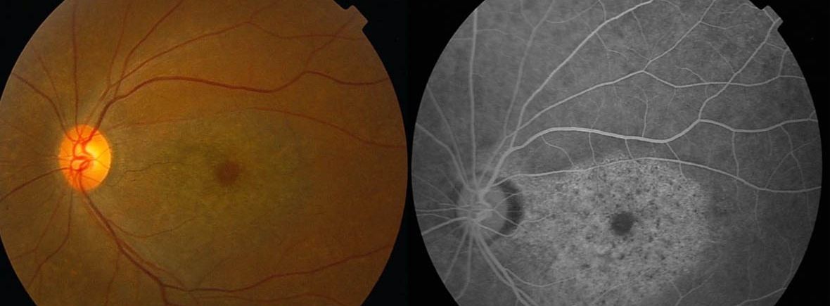
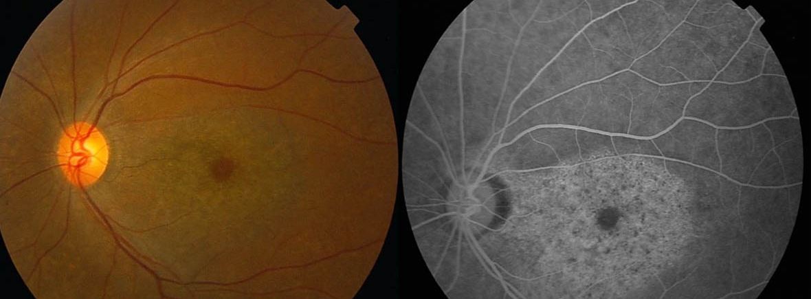
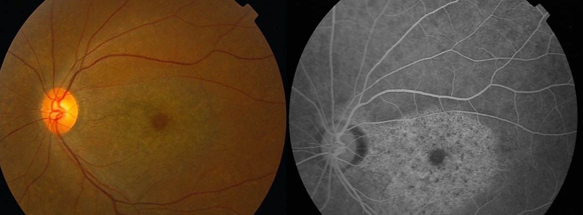
Riesgo de retinopatía con el uso crónico de hidroxicloroquina

17 enero 2023

La hidroxicloroquina se indica en forma crónica en pacientes con lupus eritematoso sistémico y otras afecciones inflamatorias. En esta gran cohorte contemporánea con vigilancia activa para la detección de retinopatía se encontró que el riesgo fue del 8,6 % después de 15 años, y la mayoría de los casos fueron leves. La dosis más alta de hidroxicloroquina se asoció con un riesgo progresivamente mayor de retinopatía incidente. Annals of Internal Medicine, 17 de enero de 2023.

Efectos adversos oculares del anticuerpo monoclonal dupilumab

09 enero 2023

La agencia de medicamentos británica recomienda a los profesionales de la salud estar alertas a los riesgos de reacciones oculares por el uso de dupilumab. Los síntomas oculares de nueva aparición o empeoramiento requieren una revisión inmediata y una derivación oportuna. Drug Safety Update, noviembre de 2022.

Detección de glaucoma primario de ángulo abierto:  Recomendación del grupo de trabajo de servicios preventivos de EE. UU. Grupo de trabajo de servicios preventivos de EE. UU.

01 junio 2022

El el Grupo de Trabajo de Servicios Preventivos de EE. UU. (US Preventive Services Task Force, USPSTF) concluye que la evidencia actual es insuficiente para evaluar el balance de beneficios y daños de la detección del glaucoma primario de ángulo abierto en adultos. (Recomendación I) JAMA. 31 de mayo de 2022

Categorias

Etiquetas