Farmacología

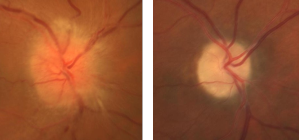
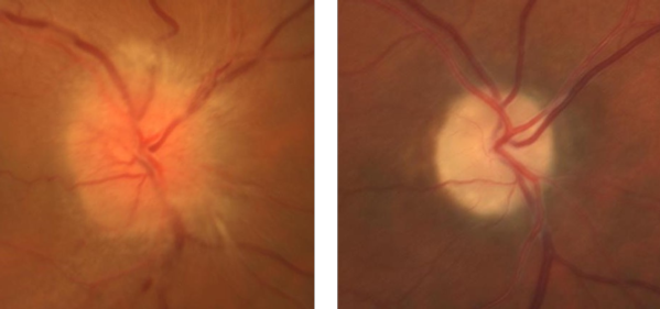
Riesgo de neuropatía oftálmica isquémica anterior no arterítica en pacientes que reciben semaglutida

08 julio 2024

Este estudio de cohorte reveló un mayor riesgo de neuropatía óptica isquémica anterior no arterítica en pacientes a los que se les prescribió semaglutida en comparación con los pacientes a los que se les recetaron otros medicamentos para la diabetes o la obesidad. Se requieren con urgencia nuevos estudios para ver si se replican estos resultados y evaluar la causalidad. JAMA Ophthalmology, 3 de julio de 2024.

Intervenciones para aumentar el tiempo de permanencia al aire libre para prevenir la incidencia y progresión de la miopía en niños

04 julio 2024

Los métodos de intervención variaron desde la adopción de actividades al aire libre como parte de las clases escolares hasta proporcionar información y motivación para fomentar las actividades al aire libre.Los resultados de esta revisión indican que las intervenciones a largo plazo para aumentar el tiempo al aire libre podrían potencialmente reducir el desarrollo de miopía en los niños. Sin embargo, aunque las intervenciones también podrían suprimir la progresión de la miopía, la escasa certeza de la evidencia hace difícil establecer conclusiones. Es necesario acumular y revisar más estudios de investigación. Cochrane Database Syst Rev. 12 de junio de 2024

Radioterapia estereotáxica para la degeneración macular neovascular asociada a la edad

12 junio 2024

En este ensayo clínico aletaorizado se comparó la radioterapia estereotáctica (RE) con un procedimiento simulado para evaluar si la RE permite disminuir el uso de las inyecciones intravítreas del anti-factor de crecimiento endotelial vascular ranibizumab. La RE redujo en  alrededor de un 25% las aplicaciones del anticuerpo monoclonal anti-VEGF, sin comprometer los resultados. The Lancet, 11 de junio de 2024.

Efectos de la actividad física en la salud visual en pediatría: revisión sistemática y metanálisis

01 febrero 2024

La participación en programas de actividad física crónica parece tener un impacto positivo en los atributos relacionados con los ojos de niños y adolescentes. Los efectos de la actividad física en los ojos pediátricos: revisión sistemática y metanálisis. Prev Med. Febrero de 2024

Efecto del colirio de atropina de baja concentración frente al placebo en la incidencia de miopía en niños. Ensayo clínico aleatorizado LAMP2

16 febrero 2023

Entre los niños de 4 a 9 años sin miopía, el uso nocturno de colirios de atropina al 0,05 % en comparación con el placebo resultó en una incidencia significativamente menor de miopía y un porcentaje menor de participantes con un cambio rápido de miopía a los 2 años. No hubo diferencia significativa entre la atropina al 0,01% y el placebo. Se necesita más investigación para replicar los hallazgos, para comprender si esto representa un retraso o una prevención de la miopía, y para evaluar la seguridad a largo plazo. JAMA.  14 de febrero  de 2023

Categorias

Etiquetas