Farmacología

Comparación de la 22ª Lista Modelo de Medicamentos Esenciales de la OMS con las listas de medicamentos potecialmente inapropiados en adultos mayores

10 mayo 2022

Las guías de criterios explícitos tienen diferente potencial para detectar medicamentos potencialmente inapropiados. Nuestros hallazgos sugieren que algunos medicamentos deberían agregarse a la próxima edición de la Lista Modelo de Medicamentos Esenciales para cubrir algunas brechas terapéuticas. Eur J Hosp Pharm, 6 de mayo de 2022

Cuidados al final de la vida en pacientes oncológicos: ¿Cuánta farmacoterapia y cuánto cuidados paliativos?

10 mayo 2022

En este estudio de vinculación de registros en el norte de Italia, el uso de medicamentos contra el cáncer y cuidados paliativos en el último mes de vida se asociaron inversamente, mostrando variabilidad entre diferentes Autoridades Locales de Salud. Si bien los datos administrativos tienen límites, nuestros hallazgos están en línea con las conclusiones de otros estudios. BMJ Open, 6 de mayo de 2022

Butirilcolinesterasa como posible biomarcador del síndrome de muerte súbita del lactante

10 mayo 2022

La actividad de butirilcolinesterasa medida en gotas de sangre seca tomadas 2 o 3 días después del nacimiento, fue más baja en los bebés que posteriormente murieron con el sindrome de muerte súbita del lactante, en comparación con los controles supervivientes o fallecidos por otras causas. Se concluye que un déficit colinérgico previamente no identificado está presente al nacer en estos bebés  y representa una vulnerabilidad específica medible antes de su muerte. eBioMedicine, 6 de mayo de 2022.

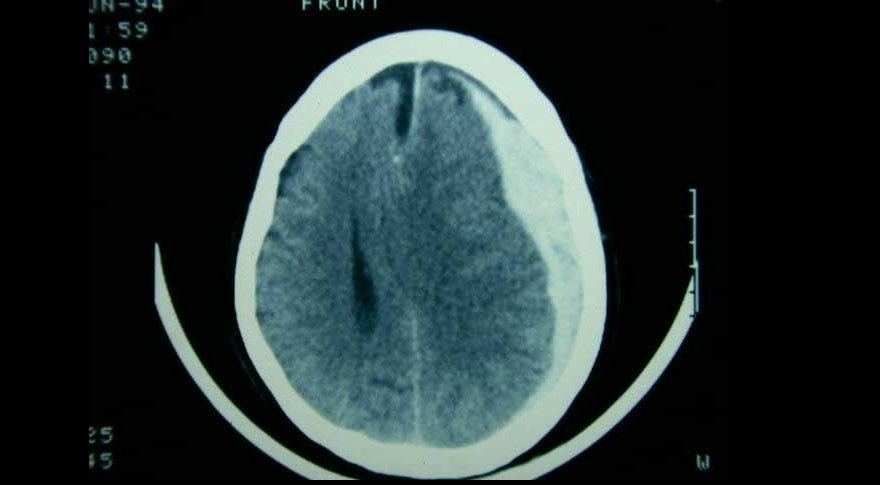
Evacuación inicial o tratamiento conservador en el hematoma subdural agudo

09 mayo 2022

El tratamiento de pacientes con hematoma subdural agudo difiere según el centro de tratamiento, debido a la variación en el abordaje preferido. Una estrategia de tratamiento que prefirió un enfoque agresivo de evacuación quirúrgica aguda sobre el tratamiento conservador inicial no se asoció con un mejor resultado funcional. The Lancet Neurology, 5 de mayo de 2022.

Resultados adversos perinatales y del embarazo en América Latina y el Caribe: revisión sistemática y metanálisis

09 mayo 2022

Los resultados de este estudio ofrecen cálculos actualizados de algunos de los resultados adversos perinatales y del embarazo con mayor prevalencia en América Latina y el Caribe. Estos resultados ponen de manifiesto que existe una gran heterogeneidad en las estimaciones de prevalencia, que podría reflejar la diversidad de la población de la región. Rev Panam Salud Publica, 3 de mayo de 2022

Categorias

Etiquetas