Farmacología

Medicamentos para la presión arterial, glucosa en sangre, lípidos y medicamentos antitrombóticos: relación con la enfermedad cardiovascular y la muerte en adultos de 21 países de ingresos altos, medios y bajos con un índice de masa corporal elevado

06 mayo 2022

en la medida en que el riesgo de enfermedad cardiovascular (ECV) entre las personas con uníndice de masa corporal (IMC) elevado está relacionado con la hipertensión, la diabetes y un entorno trombótico elevado, el tratamiento farmacológico de estas vías puede representar un medio complementario importante para reducir la carga de ECV causada por un IMC elevado. Eur J Prev Cardiol, 4 de mayo de 2022

¿La prescripción conjunta de antiinflamatorios no esteroideos y anticoagulantes orales aumenta el riesgo de hemorragia mayor, accidente cerebrovascular y embolia sistémica?

05 mayo 2022

Cuando se prescriben anticoagulantes orales (ACO) conjuntamente con antiinflamatorios no esteroideos (AINE), aumenta el riesgo de eventos hemorrágicos adversos y, al mismo tiempo, se reduce el efecto protector de los ACO para prevenir accidentes cerebrovasculares. Se necesitan intervenciones que reduzcan la prescripción peligrosa de AINE en pacientes que reciben tratamiento con ACO. Br J Clin Pharmacol. 28 de abril de 2022

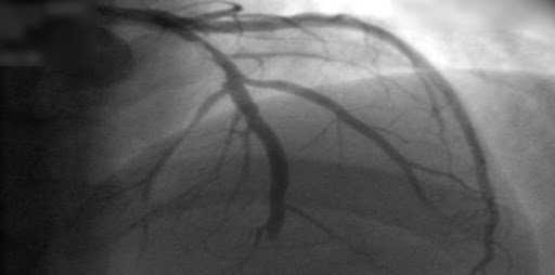
Tomografía computada versus angiografía invasiva en la angina de pecho estable

28 abril 2022

En los pacientes remitidos para cateterismo coronario por dolor torácico estable y con probabilidad intermedia de enfermedad coronaria antes de la prueba, la evaluación inicial por tomografía computada tuvo un riesgo de eventos cardiovasculares mayores similar a los de la evaluación invasiva, pero una menor frecuencia de complicaciones mayores relacionadas con el procedimiento. New England Journal of Medicine, 28 de abril de 2022.

Uso de aspirina para prevenir enfermedades cardiovasculares Recomendación del grupo de trabajo de servicios preventivos de EE. UU.

28 abril 2022

La decisión de iniciar el uso de aspirina en dosis bajas para la prevención primaria de enfermedad cardiovascular (ECV) en adultos de 40 a 59 años que tienen un riesgo de ECV a 10 años del 10% o más debe ser individual. La evidencia indica que el beneficio neto del uso de aspirina en este grupo es pequeño. Las personas que no tienen un mayor riesgo de sangrado y están dispuestas a tomar aspirina en dosis bajas todos los días tienen más probabilidades de beneficiarse. (Recomendación C)El USPSTF recomienda no iniciar el uso de aspirina en dosis bajas para la prevención primaria de ECV en adultos de 60 años o más. (Recomendación D) . JAMA,  26 de abril de 2022

Riesgo de efectos adversos por el uso de nitratos junto con inhibidores de la fosfodiesterasa 5

26 abril 2022

En este estudio observacional de base poblacional realizado en Dinamarca, la tasa de prescripción de inhibidores de la fosfodiesterasa 5 (PDE5) en pacientes con cardiopatía isquémica que tomaban nitratos aumentó casi 20 veces entre los años 2000 y 2018, pero no se encontró asociación significativa entre la coprescripción de nitratos con inhibidores de la PDE5 y el riesgo de los resultados adversos cardiovasculares. Annals of Internal Medicine, 19 de abril de 2022.

Categorias

Etiquetas