Farmacología

Comparación de los resultados quirúrgicos a corto plazo de cirujanos gastrointestinales masculinos y femeninos en Japón

05 octubre 2022

Este estudio de cohorte retrospectivo no encontró una diferencia de riesgo ajustada significativa en los resultados de las cirugías realizadas por cirujanos gastrointestinales masculinos versus femeninos. A pesar de las desventajas, las cirujanas aceptan pacientes de alto riesgo. En Japón, se justifica un mayor acceso a la formación quirúrgica para las médicas. BMJ 28 de septiembre de 2022

La sobrevida libre de recurrencia no es un buen indicador de sobrevida general luego de la resección de metástasis hepáticas

05 septiembre 2022

La supervivencia libre de recurrencia se ha utilizado como variable subrogada de la supervivencia general en ensayos en los que participaron pacientes con metástasis hepáticas colorrectales resecadas. En este estudio se encontró una correlación mínima entre ambas variables, por lo que la supervivencia libre de recurrencia resulta un criterio de valoración indirecto inadecuado para la supervivencia general en este contexto. The Lancet Oncology, septiembre 2022.

Manejo ambulatorio de la apendicitis aguda tratada con antibióticos

05 julio 2022

En un ensayo clínico de pacientes con apendicitis aguda, los antibióticos iniciales no fueron inferiores a la apendicectomía inmediata, e incluso en muchos casos el manejo con medicamentos fue ambulatorio. En este nuevo análisis  se comparó la evolución de los pacientes ambulatorios e internados de la rama antibióticos, encontrando que no hubo diferencias importantes. El manejo ambulatorio con antibióticos sería un opción en pacientes seleccionados con apendictis aguda.  JAMA Network Open, 1º de julio de 2022.

Analgesia con opiáceos versus sin opiáceos después del alta quirúrgica: revisión sistemática y metanálisis

21 junio 2022

Los hallazgos de este metanálisis respaldan que la prescripción de opioides al alta quirúrgica no reduce la intensidad del dolor, pero sí aumenta los eventos adversos. La evidencia se basó en ensayos centrados en cirugías electivas de extensión menor y moderada, lo que sugiere que los médicos pueden considerar la prescripción de analgesia sin opioides en estos entornos quirúrgicos. Los datos se derivaron en gran medida de ensayos de baja calidad y ninguno involucró a pacientes sometidos a procedimientos mayores o complejos. Dadas estas limitaciones, existe una gran necesidad de mejorar la calidad y el alcance de la investigación en este campo. Lancet, 18 de junio de 2022

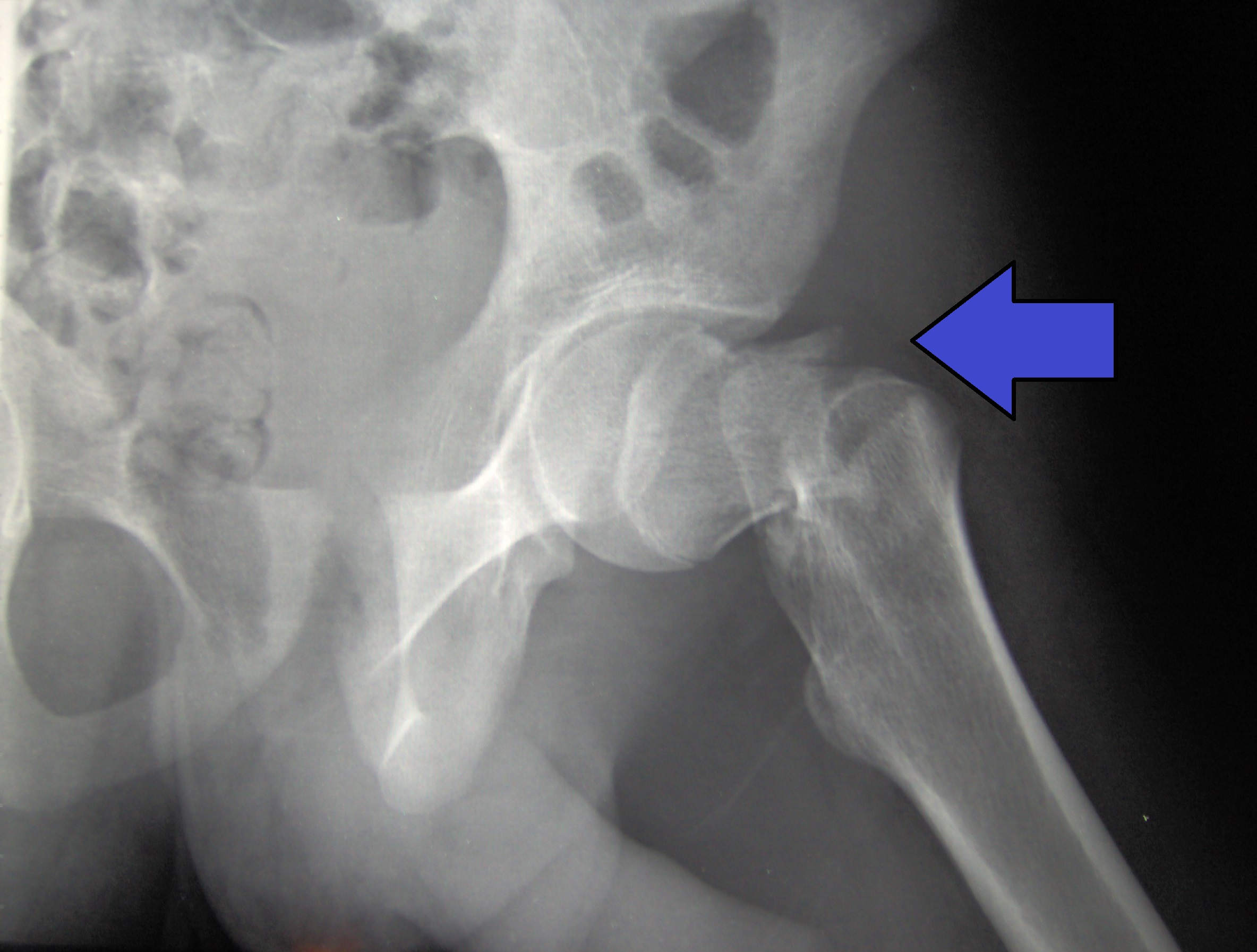
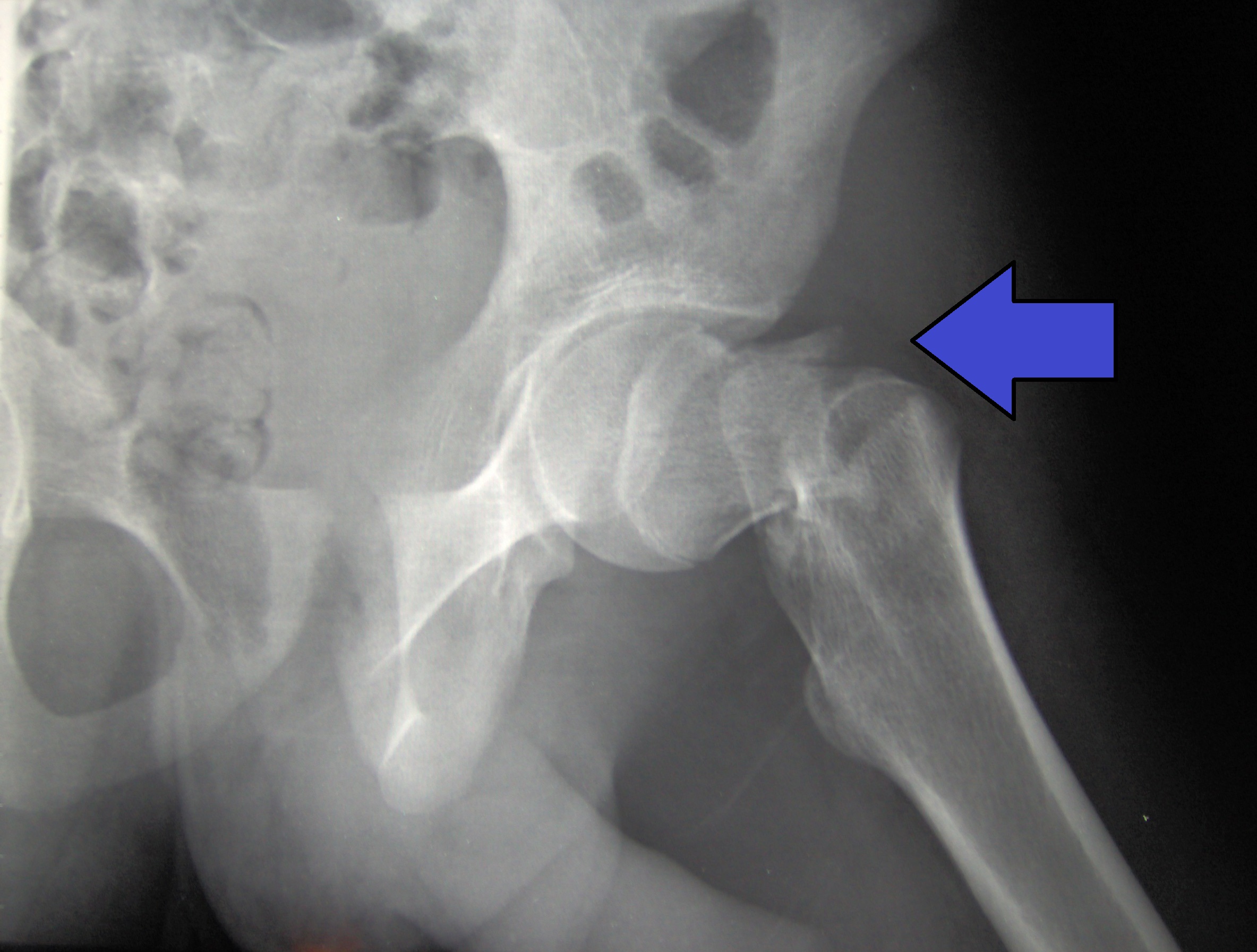
Dolor luego de la anestesia general o espinal para la cirugía de fractura de cadera

14 junio 2022

El dolor intenso es común después de una fractura de cadera. La anestesia espinal se asoció con más dolor en las primeras 24 horas después de la cirugía y más uso de analgésicos recetados a los 60 días en comparación con la anestesia general. Annals of Internal Medicine, 14 de junio de 2022.

Categorias

Etiquetas