Farmacología

Ácido tranexámico en pacientes sometidos a cirugía no cardiaca

31 mayo 2022

Entre los pacientes sometidos a cirugía no cardiaca, la incidencia del resultado hemorrágico compuesto fue significativamente menor con ácido tranexámico que con placebo. Aunque la diferencia entre los grupos en el resultado cardiovascular compuesto fue pequeña, no se estableció la no inferioridad del ácido tranexámico. N Engl J Med, 26 de mayo de 2022

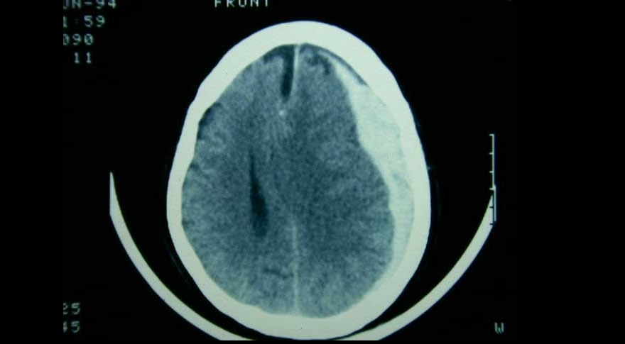
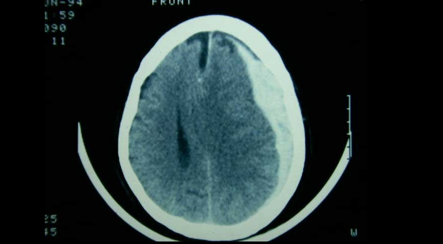
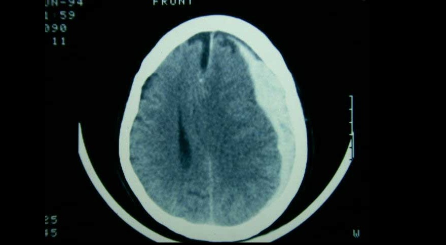
Evacuación inicial o tratamiento conservador en el hematoma subdural agudo

09 mayo 2022

El tratamiento de pacientes con hematoma subdural agudo difiere según el centro de tratamiento, debido a la variación en el abordaje preferido. Una estrategia de tratamiento que prefirió un enfoque agresivo de evacuación quirúrgica aguda sobre el tratamiento conservador inicial no se asoció con un mejor resultado funcional. The Lancet Neurology, 5 de mayo de 2022.

Tiroidectomía sin yodo radioactivo en pacientes con cáncer de tiroides de bajo riesgo

10 marzo 2022

En pacientes con cáncer de tiroides de bajo riesgo sometidos a tiroidectomía, una estrategia de seguimiento que no involucró el uso de yodo radioactivo no fue inferior a una estrategia de ablación con yodo radioactivo en cuanto a la aparición de eventos funcionales, estructurales y biológicos a los 3 años. New England Journal of Medicine, 10 de marzo de 2022.

Beneficios y perjuicios de la anticoagulación oral directa y la heparina de bajo peso molecular para la tromboprofilaxis en pacientes sometidos a cirugía no cardíaca

09 marzo 2022

Los anticoagulantes orales directos y la heparina de bajo peso molecular redujeron el tromboembolismo venoso en comparación con ningún tratamiento activo, pero probablemente aumentaron las hemorragias graves en un grado similar. Los anticoagulantes orales directos probablemente previenen el tromboembolismo venoso sintomático en mayor medida que la heparina de bajo peso molecular profiláctica. BMJ 9 de marzo de 2022

Diagnóstico y tratamiento de la apendicitis aguda en adultos

17 diciembre 2021

La apendicitis aguda afecta de 96,5 a 100 personas por cada 100000 adultos por año en todo el mundo. La apendicectomía sigue siendo el tratamiento de primera línea para la apendicitis aguda, pero el tratamiento con antibióticos en lugar de la cirugía es apropiado en pacientes seleccionados con apendicitis no complicada. JAMA. 14  de diciembre de 2021

Categorias

Etiquetas