Farmacología

¿Arteria radial o vena safena para la cirugía de bypass coronario?

16 julio 2020

En este metanálisis de datos de participantes individuales con 10 años de seguimiento, el uso de arteria radial se asoció con un menor riesgo de eventos cardiovasculares que el de vena safena. JAMA, 14 de julio de 2020.

Mortalidad y complicaciones pulmonares en pacientes sometidos a cirugía con infección por SARS-CoV-2

01 junio 2020

Las complicaciones pulmonares postoperatorias ocurren en la mitad de los pacientes con infección perioperatoria por SARS-CoV-2 y están asociadas con una alta mortalidad. Los umbrales para la cirugía durante la pandemia de COVID-19 deben ser más altos que durante la práctica normal, particularmente en hombres de 70 años o más. Se debe considerar posponer los procedimientos no urgentes y promover el tratamiento no quirúrgico para retrasar o evitar la necesidad de cirugía. Lancet, 29 de mayo de 2020.

El índice neutrófilo/linfocito predice apendicitis aguda y distingue entre apendicitis complicada y no complicada: revisión sistemática y metanálisis

18 febrero 2020

El índice neutrófilo/linfocito predice tanto el diagnóstico como la gravedad de la apendicitis. Esto puede tener implicaciones para priorizar los casos de cirugía, para controlar a los pacientes tratados de forma conservadora y para los pacientes que no se someten habitualmente a una tomografía computarizada (pacientes embarazadas o pediátricas). Am J Surg, enero de 2020

Cirugía temprana en la pancreatitis crónica dolorosa

13 febrero 2020

Una estrategia de cirugía temprana resultó en mayor alivio del dolor en un seguimiento de 18 meses, en comparación con un enfoque de manejo inicial clínico y endoscópico. JAMA, 21 de enero de 2020

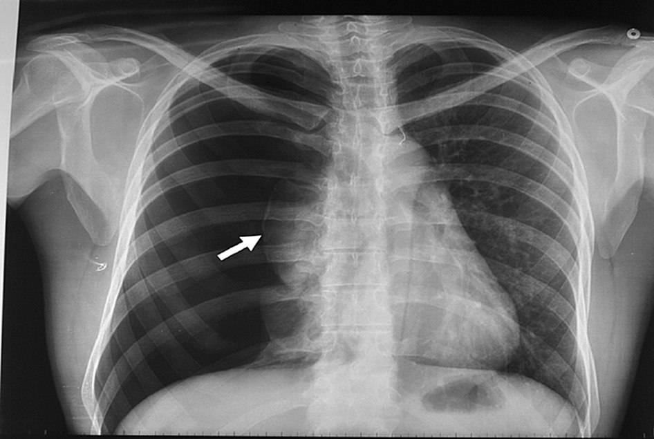
Manejo conservador del neumotórax espontáneo moderado a grande

30 enero 2020

En un ensayo clínico que comparó la intervención inicial vs manejo conservador se encontró resolución del neumotórax a las 8 semanas en 98,5% vs 94,1% de los pacientes, respectivamente. New England Journal of Medicine, 30 de enero de 2020

Categorias

Etiquetas