Farmacología

Boletín Terapéutico Andaluz: cefaleas y migrañas

24 enero 2018

El boletín del Centro Andaluz de Documentación e Información de Medicamentos (CADIME) revisa la presentación, evalluación y enfoque terapéutico de este motivo de consulta habitual en atención primaria. CADIME BTA 2017; 32(3)

Ensayo EMPA-REG OUTCOME. ¿Qué nos dice?

24 enero 2018

Un análisis detallado del estudio sugiere que la disminución de la mortalidad en los pacientes diabéticos tratados con empagliflozina podría tener otras explicaciones alternativas. Therapeutics Letter [107], 22 de enero de 2018

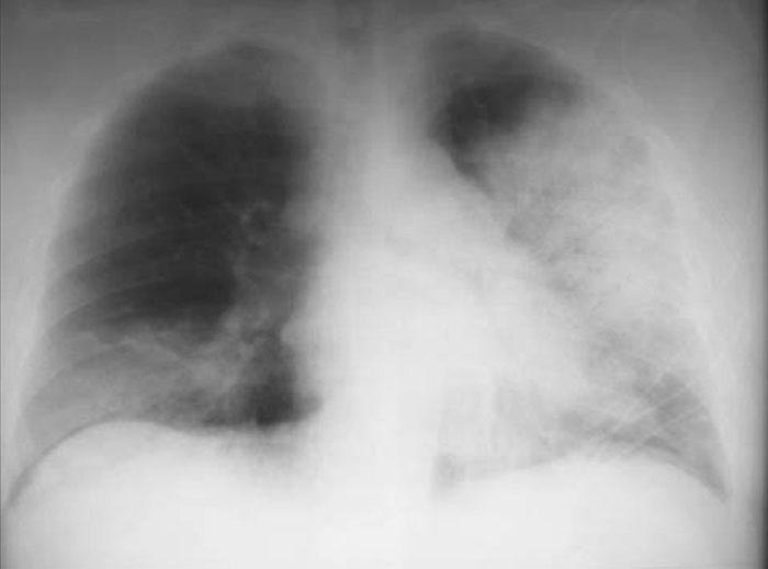
Corticoides en la neumonía severa

23 enero 2018

La actualización de una revisión Cochrane muestra beneficio del uso de corticosteroides en pacientes internados con neumonía severa. The Cochrane Library, 13 de diciembre de 2017

Valor pronóstico de los diferentes fenotipos de pacientes con EPOC

23 enero 2018

Con el examen clínico y una espirometría se pueden caracterizar cinco tipos de pacientes con EPOC, cuyo pronóstico es sustancialmente diferente. European Respiratory Journal, noviembre de 2017

Argentina: el riesgo para la salud de la pobreza y de la falta de educación

23 enero 2018

En los estratos con educación e ingreso más bajos se presentan con mayor frecuencia todos los factores de riesgo cardiovascular, reflejando desigualdades a nivel nacional y regional. Medwave, noviembre-diciembre de 2017

Categorias

Etiquetas