Farmacología

No se conoce la causa de la mayoría de las malformaciones congénitas

31 mayo 2017

Un estudio en profundidad de más de 5.000 casos de niños con defectos de nacimiento encuentra que en el 80% de los casos no se puede identificar la causa. BMJ, 30 de mayo de 2017

¿Quién se beneficia de los descuentos en el precio de los medicamentos?

31 mayo 2017

El artículo plantea que los descuentos que realizan en EEUU los fabricantes de fármacos a los financiadores de planes de salud pueden en realidad resultar en un aumento del gasto de bolsillo para los pacientes. JAMA Internal Medicine, 30 de mayo de 2017

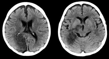
¿Cómo afecta la enfermedad carotídea extracraneal el tratamiento de la oclusión arterial intracraneal?

31 mayo 2017

La obstrucción mayor del 50% de la carótida interna extracraneal no limitó el beneficio del tratamiento intraarterial agudo en el ictus isquémico de causa intracraneal. Annals of Internal Medicine, 23 de mayo de 2017

¿Cuál es el mejor tratamiento para la artritis reumatoidea cuando el metotrexate no alcanza?

31 mayo 2017

La triple terapia (metotrexate + sulfasalazina + hidroxicloroquina) fue similar a la combinación metotrexate + etanercept, pero más costo-efectiva. Annals of Internal Medicine, 30 de mayo de 2015

Urgencias de pediatría: Protocolos de atención Prehospitalaria

30 mayo 2017

INFAC Volumen 25, Nº 02. 2017 CEVIME, 20 de mayo de 2017 Una actividad básica para la mejora de calidad de la asistencia pediátrica urgente es la estandarización de las actuaciones, lo que contribuye a la reducción de la variabilidad en la práctica clínica, la mejora en la comunicación entre los diferentes niveles, así como la optimización de los recursos y la seguridad del paciente

Categorias

Etiquetas