Farmacología

Tratamiento intensivo de la hipertensión arterial en el adulto mayor

03 septiembre 2021

En pacientes de 60 a 80 años con hipertensión arterial, el tratamiento intensivo con un objetivo de presión arterial sistólica de 110 a menos de 130 mm Hg resultó en una menor incidencia de eventos cardiovasculares que el tratamiento estándar con un objetivo de 130 a menos de 150 mm Hg. New England Journal of Medicine, 30 de agosto de 2021.

Muerte cardíaca súbita inducida por fármacos y síndrome de QT largo

03 septiembre 2021

Muchos fármacos aumentan directamente el intervalo QT en el electrocardiograma, un trastorno de la conducción eléctrica asociado con el riesgo de trastornos cardíacos a veces fatales. Prescrire 1 de septiembre de 2021

La reducción intensiva de la tensión arterial resulta especialmente beneficiosa en pacientes con marcadores humorales de riesgo para insuficiencia cardíaca

02 septiembre 2021

En un análisis post-hoc del ensayo SPRINT se encontró que el beneficio absoluto de la prevención de muerte o insuficiencia cardíaca  es mayor en los pacientes con elevación basal de los niveles de troponina o péptido natriurético. De confirmarse este resultado en futuros estudios, se podría enfocar el descenso intensivo de la tensión arterial en aquellos hipertensos con elevación de los marcadores humorales de riesgo. JAMA Cardiology, 1º de septiembre de 2021.Resumen

Efecto de la sustitución de sal sobre eventos cardiovasculares y muerte

01 septiembre 2021

Entre las personas que tenían antecedentes de accidente cerebrovascular o tenían 60 años o más y tenían presión arterial alta, las tasas de accidente cerebrovascular, eventos cardiovasculares importantes y muerte por cualquier causa fueron más bajas con el sustituto de sal que con la sal regular. N Eng J Med August 29, 2021

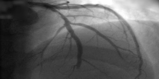
Antiagregación dual abreviada después de la colocación de un stent coronario en pacientes con alto riesgo de sangrado

31 agosto 2021

Un mes de terapia antiplaquetaria dual no fue inferior a la continuación por dos o más meses adicionales con respecto a la aparición de eventos clínicos adversos netos y eventos cardíacos o cerebrales adversos mayores, pero logró una menor incidencia de hemorragias clínicamente relevantes. New England Journal of Medicine, 28 agosto de 2021.

Categorias

Etiquetas