Farmacología

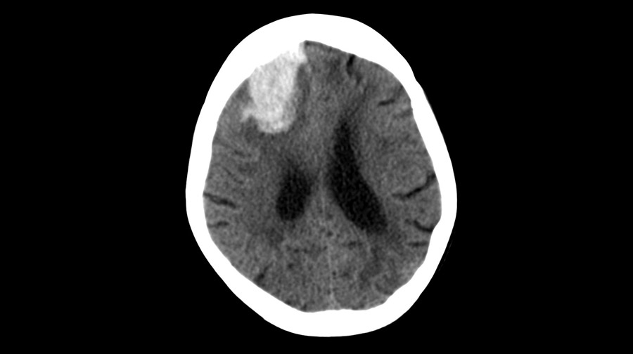
Eliminación temprana mínimamente invasiva de hemorragia intracerebral

11 abril 2024

En los pacientes en quienes la cirugía se pudo realizar dentro de las 24 horas posteriores a una hemorragia intracerebral aguda, la evacuación mínimamente invasiva del hematoma produjo mejores resultados funcionales a los 180 días que el  tratamiento médico basado en guías. El efecto de la cirugía parece atribuirse a la intervención de las hemorragias lobares. New England Journal of Medicine, 10 de abril de 2024.

Omisión de la disección axilar en el cáncer de mama con metástasis en el ganglio centinela

04 abril 2024

En este ensayo clínico de no inferioridad se estudiaron pacientes con cáncer de mama y ganglios clínicamente negativos antes de la cirugía, que tenían macrometástasis en el ganglio centinela. La omisión de la disección completa de los ganglios linfáticos axilares en este escenario no fue inferior a la cirugía más extensa con disección axilar para la sobrevida libre de recurrencia a los cuatro años. La mayoría de las pacientes de ambos grupos recibieron radioterapia ganglionar. New England Journal of Medicine, 3 de abril de 2024.

Efecto de la reparación temprana vs tardía de la hernia inguinal sobre los eventos adversos graves en bebés prematuros

27 marzo 2024

En los bebés prematuros con hernia inguinal, la estrategia de reparación tardía dio como resultado que menos bebés tuvieran al menos un evento adverso grave. Estos hallazgos respaldan el retraso de la reparación de la hernia inguinal hasta después del alta inicial de la unidad de cuidados intensivos neonatales. JAMA, 26 de marzo de 2024.

Asociación entre cirugía y tasa de incidencia de demencia en adultos mayores

30 enero 2024

En este estudio de cohorte retrospectivo de base poblacional, ia cirugía electiva no aumentó la tasa de incidencia de demencia en comparación con controles no quirúrgicos comparables. Esto podría ser una consideración importante para pacientes y cirujanos cuando se considera la cirugía electiva. J Am Geriatr Soc. 2 de enero de 2024

Armazón reabsorbible con everolimus vs angioplastia para la isquemia crónica infrapoplítea que amenaza la extremidad

08 enero 2024

En pacientes con isquemia crónica que amenaza la extremidad debida a enfermedad de la arteria infrapoplítea, el uso de un armazón reabsorbible liberador de everolimus fue superior a la angioplastia con respecto al criterio principal de valoración de eficacia. New England Journal of Medicine, 4 de enero de 2024.

Categorias

Etiquetas