Farmacología

Calculadora para predecir la trayectoria de pérdida de peso luego de la cirugía bariátrica

30 agosto 2023

Se ha desarrollado una calculadora consultable en línea para predecir la evolución esperada del descenso de peso luego de una cirugía bariátrica, teniendo en cuenta la edad, condición de diabético y de fumador, peso y talla iniciales, y tipo de técnica quirúrgica utilizada. The Lancet Digital Health, 29 de agosto de 2023.

Bypass extra-intracraneal para la obstrucción de las arterias carótida interna o cerebral media

23 agosto 2023

En los pacientes con oclusión sintomática de las arterias carótida interna o cerebral media e insuficiencia hemodinámica, la adición de cirugía de bypass al tratamiento médico no cambió significativamente el riesgo del resultado compuesto de accidente cerebrovascular o muerte dentro de los 30 días o accidente cerebrovascular isquémico ipsilateral más allá de los 30 días a los 2 años.  JAMA, 22 de agosto de 2023.

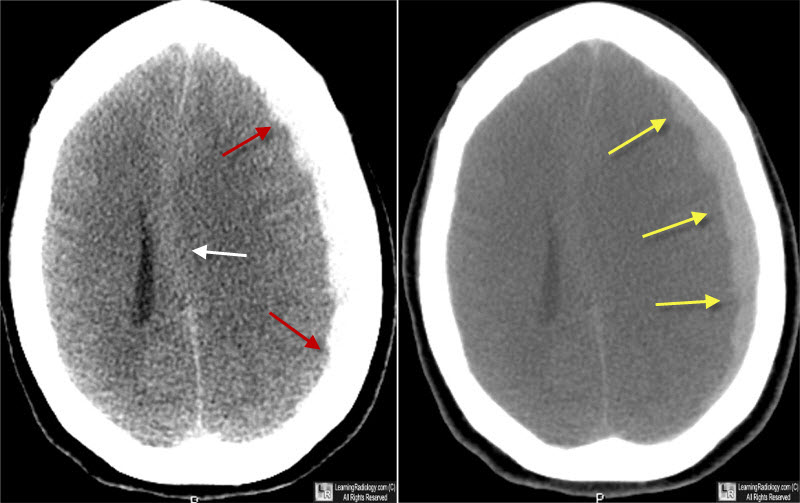
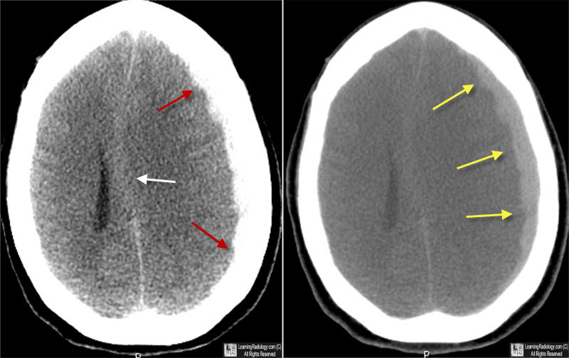
Craniectomía descompresiva versus craneotomía para el hematoma subdural agudo traumático

14 agosto 2023

Encontramos una variación sustancial entre centros en el empleo de la craniectomía descompresiva (CD) versus craneotomía para el hematoma subdural agudo traumático. Esta variación en la estrategia de tratamiento no resultó en un resultado funcional diferente. Estos hallazgos sugieren que la CD primaria debe restringirse a pacientes recuperables en los que no es posible el reemplazo inmediato del colgajo óseo debido a la inflamación cerebral intraoperatoria. eClinicalMedicine, 9 de agosto de 2023.

Manejo quirúrgico versus no quirúrgico para pacientes con obstrucción intestinal maligna

02 agosto 2023

En pacientes con obstrucción del intestino delgado por enfermedad maligna intraabdominal o retroperitoneal se comparó un enfoque de tratamiento quirúrgico con uno no quirúrgico, observando que no modificó la evolución clínica durante los tres meses siguientes. Estos hallazgos deben informar las decisiones de tratamiento para pacientes hospitalizados con obstrucción intestinal maligna. The Lancet Gastroenterology & Hepatology, 1º de agosto de 2023.

By-pass gástrico versus gastrectomía en manga para pacientes con obesidad y diabetes

10 julio 2023

Luego de 3 años de la cirugía bariátrica, el bypass gástrico fue superior a la gastrectomía en manga en pacientes con diabetes tipo 2 y obesidad en cuanto a la calidad de vida relacionada con el peso, los síntomas de reflujo, la pérdida de peso y la remisión de la diabetes, mientras que los síntomas de dolor abdominal, indigestión, diarrea, dumping, depresión y los atracones no difirieron entre los grupos. The Lancet Diabetes & Endocrinology, 3 de julio de 2023.

Categorias

Etiquetas