Farmacología

Tratamiento antibiótico combinado en bacteriemia por estafilococo aureus meticilino resistente

13 febrero 2020

La adición de un β-lactámico antiestafilocócico a la terapia antibiótica estándar con vancomicina o daptomicina no redujo los desenlaces desfavorables. JAMA, 11 de febrero de 2020.

Corticoides en la neumonía por 2019-nCoV

10 febrero 2020

Revisando los antecedentes del uso de corticosteroides en cuadros virales relacionados, no existe un buen motivo para esperar que los pacientes con infección por 2019-nCoV se beneficien de su uso, y podrían ser más propensos a sufrir los efectos adversos. Deberían usarse sólo en el contexto de un ensayo clínico. The Lancet, 7 de febrero de 2020

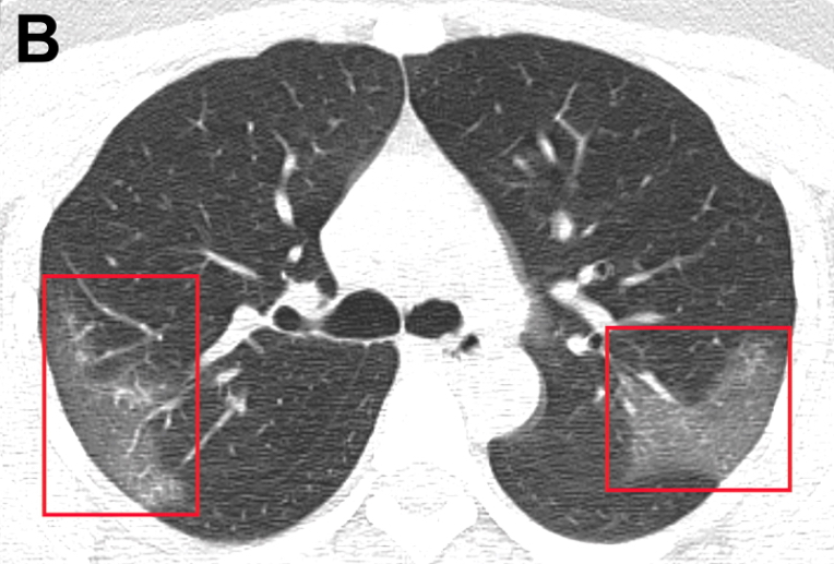
Características clínicas de los pacientes internados con neumonía por 2019-nCoV

10 febrero 2020

Cuadro febril con fatiga y tos seca, evoluciona a disnea en 5 días; presenta linfopenia, LDH elevada y tiempo de protrombina prolongado; tomografía con opacidad bilateral en vidrio esmerilado. El 26% requirió cuidados intensivo y el 4,3% falleció. JAMA, 7 de febrero de 2020

Nuevo coronavirus 2019-nCoV: recomendaciones oficiales para Argentina

06 febrero 2020

En esta etapa, el sistema de salud tiene que estar atento a cuadros infecciosos compatibles con la enfermedad y que tengan además un posible vínculo epidemiológico. Ministerio de Salud, 4 de febrero de 2020

Fiebre manchada en la Argentina

04 febrero 2020

Aunque de diagnóstico poco frecuente en nuestro medio, las rickettsiosis producen cuadros febriles graves que requieren tratamiento antibiótico específico para evitar las complicaciones. Revista Argentina de Microbiología, diciembre de 2019.

Categorias

Etiquetas