Farmacología

Prescripción de antipsicóticos a personas con diagnóstico de enfermedad mental grave en atención primaria del Reino Unido 2000-2019: investigación de 20 años sobre quién recibe tratamiento, con qué agentes y en qué dosis

19 diciembre 2024

La prescripción de antipsicóticos está dominada por la olanzapina, la quetiapina, la risperidona y el aripiprazol. Identificamos posibles disparidades tanto en la recepción como en las dosis prescritas de antipsicóticos entre los subgrupos. Para fundamentar los esfuerzos por optimizar la prescripción y garantizar la equidad en la atención, se necesitan más investigaciones para comprender por qué a ciertos grupos se les prescriben dosis más altas y es más probable que sean tratados con antipsicóticos inyectables de acción prolongada en comparación con otros. The British Journal of Psychiatry 18 de diciembre de 2024

Uso de medicamentos básicos en las prescripciones de la medicina general:   estudio piloto en la medicina general irlandesa

10 diciembre 2024

Es factible aplicar el índice de utilización de medicamentos del 90 % (DU90%) a las prescripciones de los médicos generales irlandeses, lo que revela que los médicos de cabecera suelen utilizar 140 medicamentos en la mayor parte de sus prescripciones.  Br J Clin Pharmacol, 8 de diciembre de 2024

Efectos reales de los antidepresivos en el trastorno depresivo en atención primaria: estudio de cohorte de base poblacional

09 diciembre 2024

Los antidepresivos mostraron una baja aceptabilidad, una tolerabilidad y seguridad moderadas a altas y una efectividad pequeña a moderada en el mundo real. Las estimaciones del mundo real y de los ensayos clínicos controlados aleatorizados mostraron hallazgos similares solo cuando los análisis se llevaron a cabo utilizando grandes conjuntos de datos; de lo contrario, los resultados divergieron. The British Journal of Psychiatry. 5 de diciembre de 2024

Posición del brazo y lecturas de presión arterial: Ensayo ARMS

04 diciembre 2024

Este ensayo clínico aleatorizado cruzado mostró que las posiciones de los brazos comúnmente utilizadas (sobre el regazo o de costado) dieron como resultado una sobreestimación sustancial de las lecturas de la presión arterial y pueden llevar a un diagnóstico erróneo y a una sobreestimación de la hipertensión. JAMA Intern Med.  7 de octubre de 2024

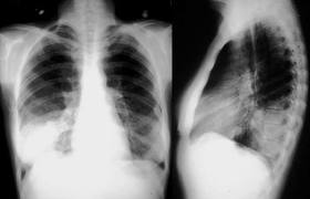
Relación entre los resultados de la radiografía de tórax y el inicio del tratamiento antibiótico en el tratamiento de la neumonía adquirida en la comunidad por médicos generales

04 diciembre 2024

En los pacientes con sospecha de neumonía adquirida en la comunidad (NAC), los médicos de cabecera tuvieron sistemáticamente en cuenta los resultados de las pruebas de respuesta positiva para iniciar el tratamiento antibiótico y tuvieron mucho menos en cuenta las pruebas de respuesta negativa. Estos resultados justifican la aclaración de qué se debe hacer en los casos de sospecha clínica de NAC sin confirmación radiológica. The Annals of Family Medicine, noviembre de 2024,

Categorias

Etiquetas