Farmacología

Efectos reales de los antidepresivos en el trastorno depresivo en atención primaria: estudio de cohorte de base poblacional

09 diciembre 2024

Los antidepresivos mostraron una baja aceptabilidad, una tolerabilidad y seguridad moderadas a altas y una efectividad pequeña a moderada en el mundo real. Las estimaciones del mundo real y de los ensayos clínicos controlados aleatorizados mostraron hallazgos similares solo cuando los análisis se llevaron a cabo utilizando grandes conjuntos de datos; de lo contrario, los resultados divergieron. The British Journal of Psychiatry. 5 de diciembre de 2024

Posición del brazo y lecturas de presión arterial: Ensayo ARMS

04 diciembre 2024

Este ensayo clínico aleatorizado cruzado mostró que las posiciones de los brazos comúnmente utilizadas (sobre el regazo o de costado) dieron como resultado una sobreestimación sustancial de las lecturas de la presión arterial y pueden llevar a un diagnóstico erróneo y a una sobreestimación de la hipertensión. JAMA Intern Med.  7 de octubre de 2024

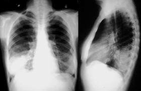
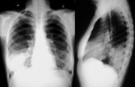
Relación entre los resultados de la radiografía de tórax y el inicio del tratamiento antibiótico en el tratamiento de la neumonía adquirida en la comunidad por médicos generales

04 diciembre 2024

En los pacientes con sospecha de neumonía adquirida en la comunidad (NAC), los médicos de cabecera tuvieron sistemáticamente en cuenta los resultados de las pruebas de respuesta positiva para iniciar el tratamiento antibiótico y tuvieron mucho menos en cuenta las pruebas de respuesta negativa. Estos resultados justifican la aclaración de qué se debe hacer en los casos de sospecha clínica de NAC sin confirmación radiológica. The Annals of Family Medicine, noviembre de 2024,

Lumbalgia

27 noviembre 2024

Existe una importante brecha entre las recomendaciones basadas en la evidencia y la práctica clínica en el dolor lumbar inespecífico, tanto agudo como persistente, con un uso limitado de intervenciones de alto valor y un uso excesivo de las de bajo valor como: pruebas de imagen, reposo, medicamentos como opioides o gabapentinoides, o cirugía.En este número del boletín se revisa la evidencia disponible sobre la eficacia de diferentes tipos de intervenciones en el manejo de la lumbalgia inespecífica, tanto aguda como persistente. INFAC, CEVIME, 26 de noviembre de 2024

Corazonadas en Medicina de Familia.

25 noviembre 2024

Las corazonadas son extremadamente frecuentes. Los y las médicos de familia  tienen corazonadas de dos tipos: alarma y seguridad. Las de alarma llevan al médico de familia a actuar solicitando pruebas y derivaciones para conocer más sobre el estado del paciente. Las corazonadas de alarma han demostrado tener un valor predictivo positivo para el diagnóstico de enfermedades graves y cáncer en Atención Primaria , comparable al de otros síntomas y signos habitualmente considerados de alarma, aumentando con su presencia de forma significativa la probabilidad de un diagnóstico de ese tipo. AMF, octubre 2024

Categorias

Etiquetas