Farmacología

Terapias farmacológicas en pacientes con exacerbación de la enfermedad pulmonar obstructiva crónica (EPOC)

11 marzo 2020

Los antibióticos y los corticosteroides sistémicos reducen el fracaso del tratamiento en adultos con exacerbación leve a severa de EPOC. Ann Intern Med, 25 de febrero de 2020

Factores pronósticos en pacientes internados con COVID-19

10 marzo 2020

Los principales indicadores de un mal resultado fueron la edad avanzada, el puntaje SOFA elevado y un valor de dímero-d al ingreso > 1 μg/L. The Lancet, 9 de marzo de 2020

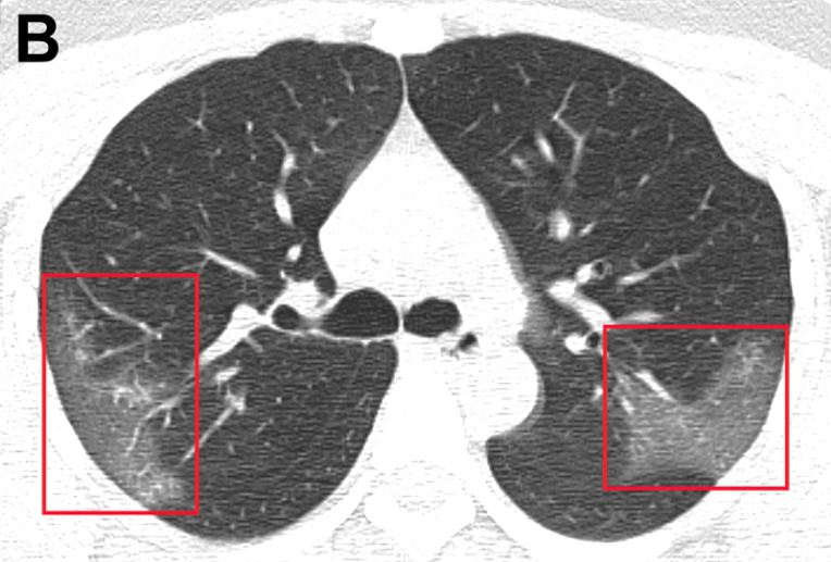
Características del cuadro de daño pulmonar asociado al cigarrillo electrónico

09 marzo 2020

Casi la mitad de los 160 casos estudiados en California requirió internación en UTI y un 29% tuvo asistencia respiratoria. La asociación más frecuente fue con productos de cannabis de fuentes informales y en el 84% de los casos contenían vitamina E. JAMA Internal Medicine, 6 de marzo de 2020.

Uso excesivo de antibióticos de amplio espectro para la neumonía

20 febrero 2020

La prescripción excesiva es particularmente pronunciada en pacientes con neumonía. Estudio tras estudio ha documentado altas tasas de sobrediagnóstico de neumonía, lo que sugiere un apuro por tratar a pesar de la evidencia equívoca de la enfermedad. Hasta la mitad de los pacientes hospitalizados tratados por neumonía pueden no tener neumonía en realidad. Este editorial pone en contexto un estudio de cohorte nacional de 88605 hospitalizaciones que no encontró un beneficio de mortalidad de la terapia empírica contra S. aureus resistente a la meticilina versus antibióticos estándar para cualquier grupo de pacientes. JAMA Intern Med,17 de febrero de 2020

Guías para el manejo del insomnio crónico y de la apnea obstructiva del sueño

18 febrero 2020

La Administración de Veteranos estadounidense actualiza sus recomendaciones sobre el manejo de estas dos condiciones crónicas, que coexisten con frecuencia. Annals of Internal Medicine, 18 de febrero de 2020.

Categorias

Etiquetas