Farmacología

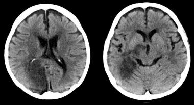
Accidente cerebrovascular oculto luego de cirugía no cardíaca

23 septiembre 2019

El 7% de los mayores de 65 años operados tuvieron una lesión isquémica cerebral aguda que no produjo síntomas inmediatos, pero que se asoció a mayor deterioro cognitivo en el seguimiento alejado. The Lancet, 21 de septiembre de 2019.

"Está todo en tu cabeza": la epidemia silenciosa de la medicina

20 septiembre 2019

JAMA Neurol., 16 de septiembre de 2019  Ya sea que a los médicos les guste admitirlo o no, los síntomas médicamente inexplicables abarcan un vasto terreno de práctica clínica.  El manejo inadecuado de este segmento de la medicina representa una epidemia silenciosa que está erosionando lentamente las relaciones médico-paciente, perpetuando discapacidades innecesarias y agotando los recursos de atención médica.

Asociación de contacto social con la demencia y cognición. Estudio de cohortes

23 agosto 2019

PLOS Medicine, 2 de agosto de 2019   Este estudio sugiere un efecto protector del contacto social contra la demencia y que un contacto más frecuente confiere una mayor reserva cognitiva, aunque es posible que la capacidad de mantener un mayor contacto social pueda ser un marcador de reserva cognitiva. Los futuros estudios de intervención deben tratar de examinar si mejorar la frecuencia del contacto social es factible, aceptable y eficaz para cambiar los resultados cognitivos.

Estudio de la solidez de la evidencia y la redundancia de la investigación sobre el tratamiento farmacológico para la enfermedad de Alzheimer

22 agosto 2019

Eur J Clin Pharmacol 21 de agosto de 2019  La evidencia es concluyente de que los inhibidores de la colinesterasa (IACh) y memantina no logran una mejoría sintomática clínicamente significativa en enfermedad de Alzheimer (EA) mientras que la aceptabilidad de IACh es insatisfactoria. Aunque la evidencia sobre la seguridad de las intervenciones farmacológicas para la EA y la aceptabilidad de la memantina no es concluyente, no se necesitan ECA adicionales ya que su eficacia no es clínicamente relevante. Se identificaron ensayos redundantes, pero su número depende de los criterios de futilidad utilizados.

Cómo se reduce el riesgo cardiovascular al dejar de fumar

22 agosto 2019

Un análisis del estudio Framingham muestra que los grandes fumadores reducen sustancialmente el riesgo a los 5 años de abandonar el cigarrillo, pero demoran entre 10 y 15 años en equiparar al que nuncó fumó. JAMA, 20 de agosto de 2019

Categorias

Etiquetas