Farmacología

Consumo de opiáceos entre pacientes con artrosis grave de rodilla

24 junio 2022

En este  estudio de utilización de medicamentos se encontró que entre los pacientes daneses con artrosis de rodilla grave, la prevalencia y el uso total de opioides se duplicó durante los 5 años anteriores a al reemplazo de rodilla. Además, el 10% de la población de estudio fue responsable del 90% de los opioides utilizados. Eur J Clin Pharmacol, 13 de junio de 2022

Asociación entre la terapia de manipulación espinal quiropráctica y la prescripción de benzodiacepinas en pacientes con dolor lumbar radicular

15 junio 2022

Los hallazgos de este estudio de cohorte retrospectivo sugieren que recibir terapia de manipulación espinal quiropráctica para dolor lumbar radicular (DLr) recién diagnosticado se asocia con menores probabilidades de recibir una prescripción de benzodiacepinas durante el seguimiento. Estos resultados proporcionan evidencia del mundo real de la concordancia de las pautas de práctica entre los pacientes que ingresan a esta vía de atención. La prescripción de benzodiazepinas para DLr debe examinarse más a fondo en un ensayo aleatorio que incluya pacientes que reciben atención quiropráctica o médica habitual, para reducir los factores de confusión residuales. BMJ Open 13 de junio de 2022

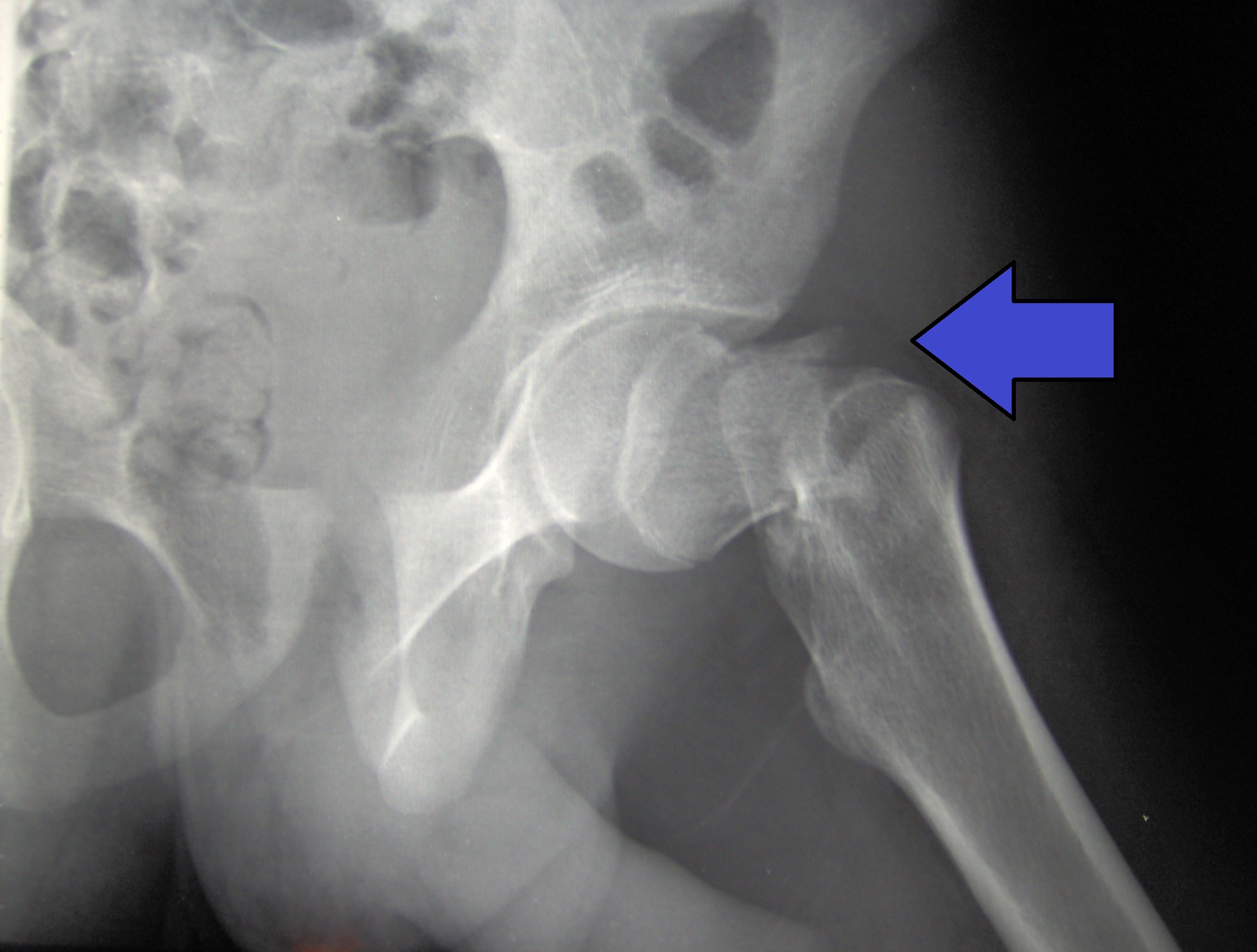
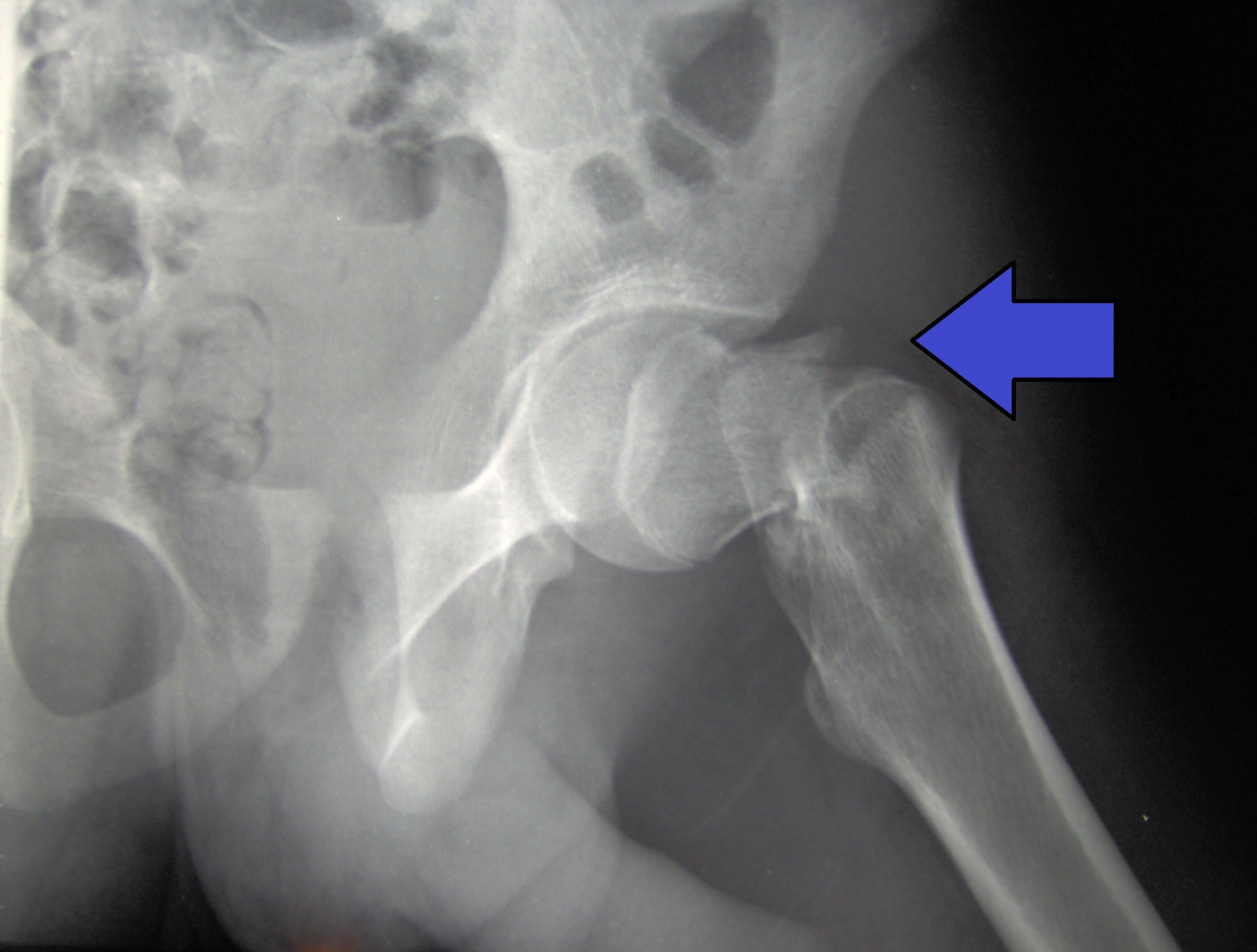
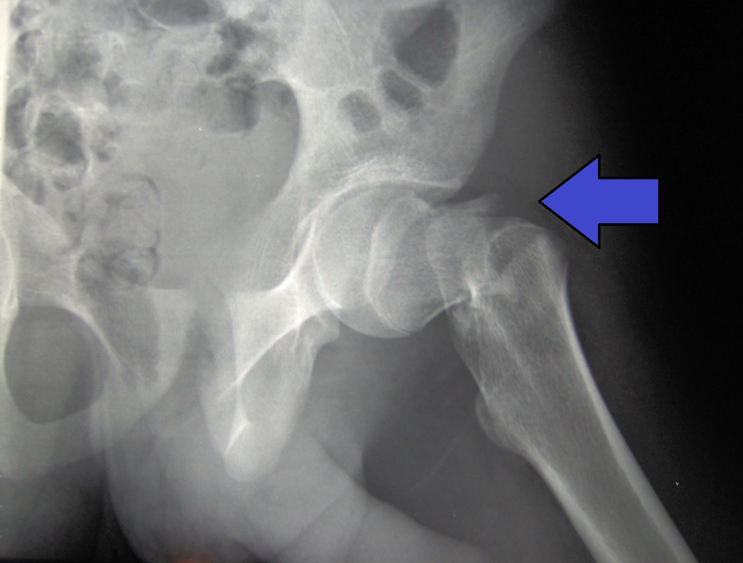
Dolor luego de la anestesia general o espinal para la cirugía de fractura de cadera

14 junio 2022

El dolor intenso es común después de una fractura de cadera. La anestesia espinal se asoció con más dolor en las primeras 24 horas después de la cirugía y más uso de analgésicos recetados a los 60 días en comparación con la anestesia general. Annals of Internal Medicine, 14 de junio de 2022.

¿Cuál es el mejor tratamiento de la rotura del tendón de Aquiles?

22 abril 2022

En un ensayo clínico realizado en Noruega se asignaron pacientes con rotura del tendón de Aquiles a uno de tres tratamientos:  cirugía abierta, cirugía mínimamente invasiva o tratamiento conservador. No se observó superioridad de ninguna de las tres modalidades luego de  12 meses de seguimiento. New England Journal of Medicine, 14 de abril de 2022.

Las mujeres y la residencia de ortopedia y traumatología en Argentina: ¿Qué proporción representan hoy?

18 marzo 2022

Las tres razones principales para elegir esta residencia fueron: gusto por el trabajo manual (59%), deseo personal (56%) y experiencia positiva en ortopedia durante la universidad (56%). Dentro de los factores disuasivos se relacionan principalmente con la idea de la gran demanda física y un ambiente de trabajo predominantemente masculino. En Argentina, las mujeres representan solo el 13% de todos los residentes de ortopedia y este número es similar a otros informes internacionales. Rev Fac Cien Med Univ Nac Cordoba, 7 de marzo de 2022

Categorias

Etiquetas