Farmacología

Respuesta al placebo y atención de los medios en ensayos clínicos aleatorizados que evalúan terapias para el dolor basadas en cannabis

07 diciembre 2022

esta revisión sistemática y metanálisis concluye que el placebo contribuye significativamente a la reducción del dolor observada en los ensayos clínicos de cannabinoides. La atención positiva de los medios y la amplia difusión pueden mantener altas expectativas y dar forma a las respuestas de placebo en ensayos futuros, lo que tiene el potencial de afectar el resultado de los ensayos clínicos, las decisiones regulatorias, la práctica clínica y, en última instancia, el acceso de los pacientes a los cannabinoides para aliviar el dolor. JAMA Netw Open 28 de noviembre  de 2022

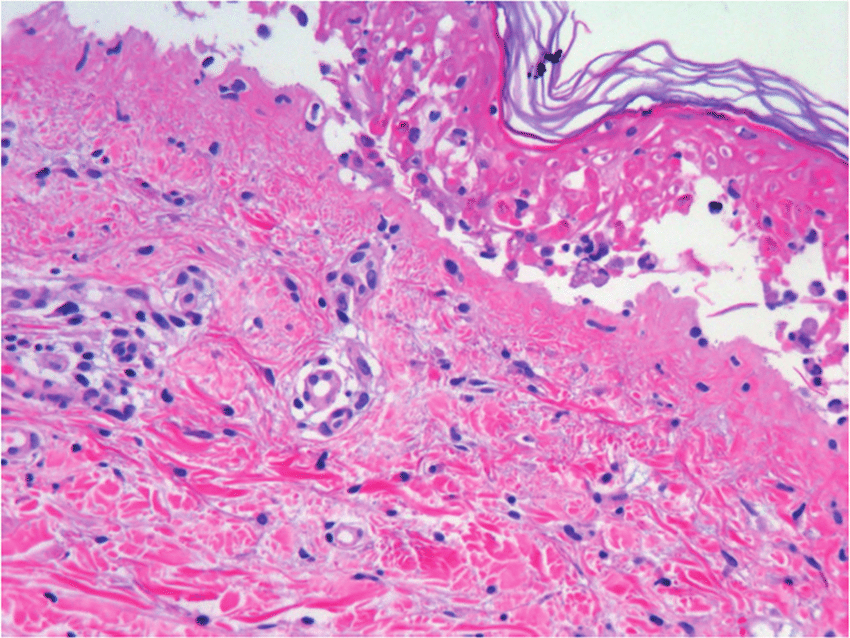
Necrólisis Epidérmica Tóxica: Revisión Clínica y Terapéutica

07 diciembre 2022

En general, su etiología y presentación son consensuadas, definiéndose como una necrólisis generalizada de la epidermis que se produce como una respuesta inmune descontrolada a un fármaco específico o a uno de sus metabolitos, destacando el cotrimoxazol y el alopurinol como los más importantes. Esta necrólisis conduce a un desprendimiento masivo de la capa epidérmica de la piel, con mayor incidencia en el torso, miembros superiores y cara. Eur. Burn J. 8 agosto 2022

Aumento de peso durante el tratamiento antipsicótico en niños, adolescentes y adultos

06 diciembre 2022

En este análisis de desproporcionalidad en la base de datos de farmacovigilancia global, Vigibase ® , en comparación con los adultos, la notificación de aumento de peso con antipsicóticos fue desproporcionadamente mayor en la población pediátrica, especialmente en niños menores de 12 años. Teniendo en cuenta el impacto del aumento de peso en la morbilidad y mortalidad global, los médicos deben monitorear de cerca el aumento de peso en pacientes jóvenes, especialmente en niños que toman risperidona. Drug Saf, 2 de diciembre de 2022

Pautas para el Examen de Solicitudes de Patentes Relacionadas con Productos Farmacéuticos

06 diciembre 2022

El Acuerdo sobre los Aspectos de los Derechos de Propiedad Intelectual relacionados con el Comercio (Acuerdo sobre los ADPIC) establece estándares mínimos para la protección de los derechos de propiedad intelectual por parte de los miembros de la Organización Mundial del Comercio (OMC). “Sin embargo, más allá de estos estándares mínimos, deja abiertas muchas ‘flexibilidades’ que permiten a los miembros de la OMC definir sus propias políticas y estándares sobre diversos asuntos”. South Centre, 29 de noviembre de 2022

Duración del tratamiento antimicrobiano en la sepsis por enterobacterias

06 diciembre 2022

En los pacientes con sepsis por enterobacterias que están estables y afebriles 48 horas antes de suspender los antibióticos, 7 días de terapia dan resultados similares a 14 días en términos de mortalidad, recaídas, duración de la internación, complicaciones de la infección, aparición de resistencia y reacciones adversas. eClinicalMedicine, 1º de diciembre de 2022.

Categorias

Etiquetas