Farmacología

Uso de una presión positiva espiratoria final más baja en pacientes ventilados

14 diciembre 2020

En pacientes con asistencia respiratoria mecánica pero sin distress respiratorio agudo, una estrategia de PEEP más baja no fue inferior a la de PEEP más alta. Estos hallazgos apoyan el uso de PEEP más baja en estos pacientes. JAMA, 8 de diciembre de 2020.

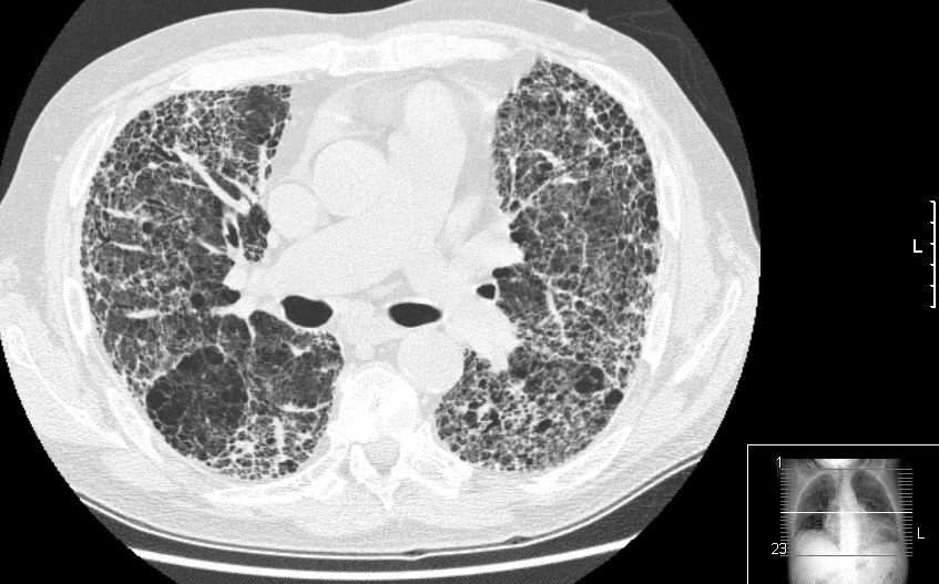
Eficacia de los antibióticos preventivos en la fibrosis pulmonar idiopática

14 diciembre 2020

En pacientes con formas moderadas a graves de la enfermedad, el tratamiento con cotrimoxazol oral no redujo un resultado combinado de mortalidad, trasplante u hospitalización no selectiva en comparación con placebo. JAMA, 8 de diciembre de 2020.

CDC: Resumen de la guía para las estrategias de salud pública para abordar los altos niveles de transmisión comunitaria del SARS-CoV-2 y muertes relacionadas, diciembre de 2020

11 diciembre 2020

En combinación, las estrategias propuestas pueden reducir la transmisión del SARS-CoV-2, las secuelas o la discapacidad a largo plazo y la muerte, y mitigar el impacto económico de la pandemia. La implementación constante de estas estrategias mejora la equidad en la salud, preserva la capacidad de atención médica, mantiene la función de negocios esenciales y respalda la disponibilidad de instrucción en persona para las escuelas de jardín de infantes a grado 12 y preescolar. Las personas, los hogares y las comunidades deben tomar estas medidas ahora para reducir la transmisión del SARS-CoV-2 de su nivel alto actual. Estas acciones proporcionarán un puente hacia un futuro con amplia disponibilidad y alta cobertura comunitaria de vacunas efectivas, cuando sea posible el regreso seguro a las actividades más cotidianas en una variedad de entornos. MMWR Morb Mortal Wkly Rep , 11 de diciembre de 2020 (4/12 online)

Intervenciones para apoyar la resiliencia y la salud mental de los profesionales sanitarios y de la asistencia social de primera línea durante y después de un brote de una enfermedad, una epidemia o una pandemia: una revisión sistemática de métodos mixtos

11 diciembre 2020

Falta evidencia cuantitativa y cualitativa proveniente de estudios realizados durante o después de epidemias y pandemias de enfermedades que puedan informar la selección de intervenciones que sean beneficiosas para la resiliencia y la salud mental del personal de primera línea. Cuando se seleccionan intervenciones destinadas a apoyar la salud mental de los trabajadores de primera línea, los factores organizativos, sociales, personales y psicológicos pueden ser importantes. Los estudios de investigación para determinar la eficacia de las intervenciones son de suma prioridad. La pandemia de covid‐19 ofrece oportunidades únicas para una evaluación sólida de las intervenciones. Cochrane Database Syst Rev,  Noviembre de 2020

Ensayos clínicos de no inferioridad: qué son y cuándo se deberían utilizar

11 diciembre 2020

Los ensayos de no inferioridad tienen algunas particularidades que es importante conocer para poder hacer interpretación adecuada y contextualizada de los resultados.  Butlletí d’informació terapéutica, Servei Català de la Salut.  Diciembre de 2020

Categorias

Etiquetas