Farmacología

Asociación del tratamiento de la hepatitis B con la mortalidad por todas las causas y la relacionada con el hígado en personas con VHB y cirrosis

15 julio 2024

El tratamiento contra el VHB se asoció con una reducción significativa de la mortalidad por todas las causas y relacionada con el hígado entre las personas con cirrosis. Los hallazgos resaltan la necesidad de tratamiento entre las personas con cirrosis relacionada con el VHB, especialmente aquellos con coinfección con el virus de la hepatitis C. The Lancet Regional Health Americas, 10 de julio de 2024.

La desnutrición como factor de riesgo de la tuberculosis

11 julio 2024

La desnutrición probablemente duplica el riesgo de tuberculosis a corto plazo (< 10 años) y también podría aumentar el riesgo a largo plazo (> 10 años). Las políticas dirigidas a reducir la carga de la desnutrición no solo son necesarias para aliviar el sufrimiento humano debido a la desnutrición y sus muchas consecuencias adversas, sino que también son una parte importante de las medidas esenciales para acabar con la epidemia de tuberculosis para 2030. Se necesitan grandes cohortes poblacionales, incluidas las derivadas de registros nacionales de alta calidad de exposiciones (desnutrición) y desenlaces (enfermedad por TB), para proporcionar estimaciones de alta certeza de este riesgo en diferentes entornos y poblaciones, incluidos los países de ingresos bajos y medios de diferentes regiones de la OMS. Además, los estudios que incluyan a niños y adolescentes y métodos más avanzados para diagnosticar la tuberculosis proporcionarían información más actualizada y relevante para la política y la práctica. Cochrane Database Syst Rev. 11 de junio de 2024

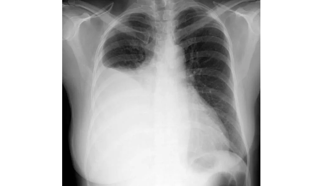
Farmacocinética de los antibióticos en derrames pleurales infectados.

08 julio 2024

En este estudio sobre farmacocinética de antibióticos realizado en pacientes con derrames pleurales infectados se encontró que los antibióticos de uso común, como amoxicilina, metronidazol, piperacilina-tazobactam y clindamicina, alcanzan niveles en el líquido pleural equivalentes a los de la sangre y por encima de la CIM para las bacterias que se sabe que causan infección pleural. La preocupación sobre la penetración de antibióticos de uso común en el espacio pleural infectado (excepto por la trimetroprima)  son infundadas. Thorax, 4 de julio de 2024.

Povidona yodada frente a gluconato de clorhexidina en alcohol para la antisepsia cutánea preoperatoria. Ensayo clínico aleatorizado

04 julio 2024

La povidona yodada en alcohol como antisepsia cutánea preoperatoria no fue inferior al gluconato de clorhexidina en alcohol para prevenir las infecciones del sitio quirúrgico después de una cirugía cardíaca o abdominal. JAMA. 17 de junio de 2024

Relación entre el uso de antipsicóticos e infecciones posteriores a accidente cerebrovascular en personas mayores

03 julio 2024

Si bien nuestro estudio no encontró evidencia concluyente que vincule la medicación antipsicótica con un mayor riesgo de infección posterior al accidente cerebrovascular, la prescripción de estos medicamentos debe abordarse con prudencia. Hasta que la investigación adicional pueda proporcionar información más definitiva, los médicos deben sopesar cuidadosamente los riesgos potenciales de infección al considerar el tratamiento antipsicótico durante el período de atención del accidente cerebrovascular agudo. Age and Ageing, 16 Junio 2024

Categorias

Etiquetas