Farmacología

El olfato disminuido es un predictor de problemas de salud en adultos mayores

30 abril 2019

Se asocia con mayor desarrollo de enfermedades cardiovasculares y neurodegenerativas, como las de Parkinson y de Alzheimer.  Annals of Internal Medicine, 30 de abril de 2019

Mitos y realidades en torno al tratamiento del dolor crónico no oncológico.¿ Son los ancianos diferentes?

26 abril 2019

Atención Primaria, abril de 2019 Los fármcos son la opción terapéutica más utilizada, aunque no deberían ser el pilar fundamental del tratamiento multidisciplinario del dolor. La evidencia en la efectividad de los tratamientos farmacológicos en DCNO ha cambiado en los últimos años, dejándonos un panorama desolador a la hora de elegir medicamentos de eficacia demostrada

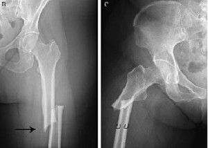
Beneficios y riesgos a largo plazo de los fármacos para prevención de fracturas

25 abril 2019

Una revisión sistemática muestra que el tratamiento con bifosfonatos luego de 3 a 5 años puede reducir las fracturas vertebrales, pero no previene las no vertebrales y aumenta el riesgo de complicaciones infrecuentes pero severas. Annals of Internal Medicine, 23 de abril de 2019

Sobrecarga de medicamentos: el otro problema con drogas en Estados Unidos

04 abril 2019

Instituto Lown, Comunicado de prensa 1 de abril de 2019Cómo el impulso para prescribir está dañando a millones de adultos mayores estadounidenses

Actualización 2019 de los Criterios de Beers para uso de medicamentos en adultos mayores

29 marzo 2019

Medscape, 6 de febrero de 2019La American Geriatrics Society ha publicado la actualización de 2019 de los criterios de Beers para la utilización potencialmente inadecuada de fármacos en adultos de edad avanzada

Categorias

Etiquetas