Farmacología

Beneficios y riesgos a largo plazo de los fármacos para prevención de fracturas

25 abril 2019

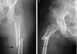
Una revisión sistemática muestra que el tratamiento con bifosfonatos luego de 3 a 5 años puede reducir las fracturas vertebrales, pero no previene las no vertebrales y aumenta el riesgo de complicaciones infrecuentes pero severas. Annals of Internal Medicine, 23 de abril de 2019

Sobrecarga de medicamentos: el otro problema con drogas en Estados Unidos

04 abril 2019

Instituto Lown, Comunicado de prensa 1 de abril de 2019Cómo el impulso para prescribir está dañando a millones de adultos mayores estadounidenses

Actualización 2019 de los Criterios de Beers para uso de medicamentos en adultos mayores

29 marzo 2019

Medscape, 6 de febrero de 2019La American Geriatrics Society ha publicado la actualización de 2019 de los criterios de Beers para la utilización potencialmente inadecuada de fármacos en adultos de edad avanzada

Detección de la población mayor susceptible de prescripción de un programa de ejercicios en Atención Primaria para prevenir la fragilidad

20 marzo 2019

Aten Primaria Marzo 2019 Casi 2 tercios de los mayores presentan algún tipo de limitación funcional. Los criterios del documento de consenso para prevenir la fragilidad detectan a la mitad de los individuos prefrágiles de la comunidad.

Categorias

Etiquetas