Farmacología

Ibrutinib y rituximab versus inmuno-quimioterapia en pacientes con linfoma de células del manto no tratado

06 octubre 2025

En este ensayo clínico aleatorizado de pacientes con linfoma de células del manto no tratado se demuestra una mejora significativa en la supervivencia libre de progresión con ibrutinib-rituximab en comparación con la inmunoquimioterapia. Este estudio sugiere que ibrutinib-rituximab debería considerarse un nuevo estándar de atención para el tratamiento de primera línea en estos pacientes. The Lancet, 3 de octubre de 2025.

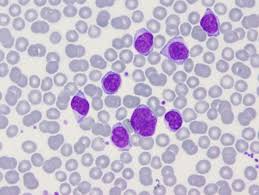
Imágenes médicas y riesgo de cáncer hematológico en niños y adolescentes

22 septiembre 2025

Este estudio retrospectivo sugiere una asociación entre la exposición a radiación por pruebas de imagen médica y un pequeño pero significativo aumento del riesgo de cáncer hematológico en niños y adolescentes. Se estima que el 10% (IC95%: 5,8 a 14,2) de los casos de cáncer hematológico podrían atribuirse a la exposición a radiación por pruebas de imagen médica, siendo mayor el riesgo a mayor dosis de radiación, como en la tomografía computarizada.  New England Journal of Medicine, 17 de septiembre de 2025.

Trombosis venosa superficial: una revisión

18 septiembre 2025

Las trombosis venosas superficiales (TVS) suelen presentarse como un cordón sensible, doloroso y palpable bajo la piel. El tratamiento puede incluir medias de compresión elásticas, antiinflamatorios no esteroideos y anticoagulación sistémica con fondaparinux 2,5 mg o rivaroxabán 10 mg. Las TVS localizadas a menos de 3 cm de una vena profunda deben tratarse con dosis terapéuticas de anticoagulantes. JAMA, 15 de septiembre de 2025.

Ticagrelor y aspirina o aspirina sola después de la cirugía coronaria por síndrome coronario agudo

03 septiembre 2025

En pacientes sometidos a cirugía de revascularización coronaria (CABG) por síndrome coronario agudo, la combinación de ticagrelor y aspirina no redujo la incidencia de muerte, infarto de miocardio, accidente cerebrovascular ni revascularización coronaria repetida en comparación con la aspirina sola al año. New England Journal of Medicine, 1º de septiembre de 2025.

Aspirina en pacientes con síndrome coronario crónico que reciben anticoagulación oral

01 septiembre 2025

En pacientes con síndrome coronario crónico que toman anticoagulantes orales, agregar aspirina condujo a un mayore riesgo de eventos cardiovasculares, sangrado mayor y muerte por cualquier causa que la anticoagulación sola. N Engl J Med 30 de agosto de 2025.

Categorias

Etiquetas