Farmacología
Eficacia y seguridad comparativas de terapias triples con un solo inhalador para la EPOC
                    02 enero 2025
                
            
            La budesonida-glicopirrolato-formoterol no se asoció con mejores resultados clínicos en comparación con fluticasona-umeclidinio-vilanterol. Dado el impacto climático adicional de los inhaladores de dosis medida, los sistemas de salud que buscan disminuir el uso de estos productos pueden considerar medidas para promover una mayor prescripción de fluticasona-umeclidinio-vilanterol en comparación con budesonida-glicopirrolato-formoterol en personas con EPOC. BMJ, 30 de diciembre de 2024.
Oxígeno nasal de alto flujo frente a ventilación no invasiva en pacientes con insuficiencia respiratoria aguda
                    12 diciembre 2024
                
            
            En este ensayo clínico aleatorizado se determinó que el oxígeno nasal de alto flujo fue no-inferior a la ventilación no invasiva en cuanto a las tasas de intubación endotraqueal o muerte a los 7 días, para cuatro de los grupos de pacientes estudiados (no inmunodeprimidos con insuficiencia respiratoria aguda hipoxémica, exacerbación de EPOC con acidosis respiratoria, edema pulmonar cardiogénico agudo y COVID-19 hipoxémico). Un grupo de pacientes (inmunodeprimidos con insuficiencia respiratoria aguda hipoxémica) fue suspendido por futilidad. JAMA, 10 de diciembre de 2024.
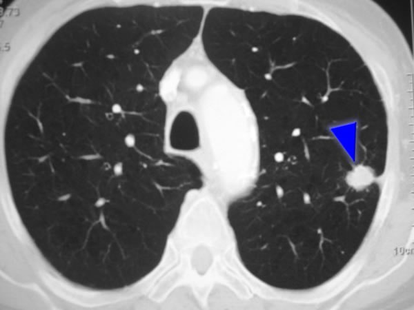
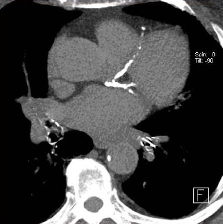
Importancia pronóstica de la determinación del calcio coronario en la TC de tórax para el rastreo de cáncer de pulmón
                    05 diciembre 2024
                
            
            En las personas que se sometieron a una TC de tórax de baja dosis para la detección del cáncer de pulmón, la presencia de calcio en la arteria coronaria fue un predictor independiente de muerte por cualquier causa y eventos cardiovasculares, incluso después del ajuste por muerte no cardiovascular. Canadian Medical Association Journal, 2 de diciembre de 2024.
¿Cuál es la terapia más efectiva para el alivio rápido en pacientes con asma?
                    28 octubre 2024
                
            
            En este metanálisis en red de pacientes con asma, los corticoides inhalados (CI) combinados con formoterol o con agonistas beta 2 de acción corta (SABA) se asociaron con una reducción de las exacerbaciones y un mejor control del asma en comparación con el uso de SABA solo. JAMA, 28 de octubre de 2024.
Manejo de la tos crónica en adultos en atención primaria
                    30 septiembre 2024
                
            
            