Farmacología

Seguridad de la atención médica ambulatoria: revisión de los registros médicos electrónicos

13 mayo 2024

El daño ambulatorio fue relativamente común y a menudo grave. Los eventos adversos a los medicamentos fueron los más frecuentes. Las tasas fueron más altas entre los adultos mayores. Se necesitan con urgencia intervenciones para reducir el daño a los pacientes ambulatorios. Ann Intern Med. 7 de mayo de 2024

Inferencia causal sobre los efectos de las intervenciones a partir de estudios observacionales en revistas médicas

13 mayo 2024

Aunque los ensayos clínicos aleatorios bien realizados siguen siendo el enfoque preferido para responder preguntas causales, los métodos para estudios observacionales han avanzado de tal manera que pueden ser posibles las interpretaciones causales de investigaciones observacionales bien realizadas que cumplen con algunos supuestos sólidos. Este artículo propone un marco para identificar cuándo la interpretación causal es apropiada en los estudios observacionales. JAMA, 9 de mayo de 2024.

Efectividad del tratamiento preventivo en diferentes grupos de edad y condición de infección por Mycobacterium tuberculosis

13 mayo 2024

En esta revisión sistemática y metanálisis de participantes individuales se investigó el desarrollo de tuberculosis incidente en contactos estrechos de personas con tuberculosis. Nuestros hallazgos sugieren que una estrategia dirigida al riesgo que dé prioridad a los contactos con evidencia de infección por M tuberculosis podría estar indicada en entornos de baja carga, y en cambio se debe considerar un enfoque amplio que incluya a todos los contactos en los entornos de alta carga de enfermedad. El tratamiento preventivo fue igualmente eficaz entre los contactos de todas las edades. The Lancet Respiratory Medicine, 8 de mayo de 2024.

Resultados comparativos de empagliflozina a dapagliflozina en pacientes con insuficiencia cardíaca

13 mayo 2024

En este estudio de cohorte, los pacientes que iniciaron empagliflozina tuvieron menos probabilidades de experimentar la combinación de mortalidad por todas las causas u hospitalización en comparación con los pacientes que iniciaron tratamiento con dapagliflozina. Se necesitan estudios adicionales para confirmar estos hallazgos. JAMA Netw Open. 2 de mayo de 2024

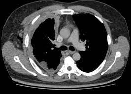
Quimioterapia con o sin decorticación con pleurectomía extendida para el mesotelioma

13 mayo 2024

En pacientes con con mesotelioma pleural resecable la quimioterapia asociada con una decorticación con pleurectomía extendida se asoció con una peor supervivencia a 2 años y eventos adversos más graves que la quimioterapia sola. The Lancet Respiratory Medicine 10 de mayo de 2024.

Categorias

Etiquetas