Farmacología

El uso regular de aspirina se asocia a anemia y deficiencia de hierro en el adulto mayor

21 junio 2023

En un estudio derivado del ensayo clínico ASPREE, que evaluó la prevención primaria cardiovascular con dosis bajas de aspirina en adultos mayores sanos, se comprobó un aumento de la incidencia de anemia y disminución de la ferritina, independientemente de la ocurrencia de sangrado significativo. Se debe considerar el control periódico de la hemoglobina en personas mayores que toman aspirina. Annals of Internal Medicine, 20 de junio de 2023.

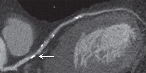
Estrategias diagnósticas para la evaluación de la sospecha de enfermedad arterial coronaria estable: revisión sistemática y metanálisis.

13 junio 2023

Para la evaluación inicial de los pacientes con sospecha de enfermedad de las arterias coronarias estable, la angiografía por tomografía computarizada coronaria se asoció con efectos para la salud similares a la remisión directa a la angiografía coronaria invasiva y con un beneficio para la salud en comparación con el ECG de ejercicio y la SPECT-MPI. Se necesita más investigación para evaluar mejor el rendimiento relativo de cada estrategia de diagnóstico.  Ann Intern Med. 6 de junio de 2023.

Estrategias de tratamiento para la miocardiopatía en niños: declaración científica de la American Heart Association

12 junio 2023

Se ha puesto especial énfasis en las terapias causa-específicas en niños para la prevención y atenuación de su miocardiopatía además de los tratamientos sintomáticos. También se analizan las estrategias y tratamientos de investigación actuales que no se encuentran en la práctica clínica generalizada, incluida la dirección futura de las estrategias de gestión de investigación, los diseños de ensayos y las redes de colaboración, ya que tienen el potencial de refinar y mejorar aún más la salud y los resultados de los niños con miocardiopatía en el futuro. Circulation. 8 de junio de 2023

Intervención percutánea o cirugía de bypass para la enfermedad del tronco de la coronaria izquierda: una revisión

09 junio 2023

En pacientes sometidos a revascularización del tronco de la coronaria izquierda, con una complejidad coronaria de baja a intermedia, aquellos con sindrome coronario agudo (SCA) tenían tasas más altas de muerte precoz. Al comparar los dos métodos de revascularización,  la mortalidad general a los 5 años fue similar con la intervención percutánea (PCI) y con la cirugía de bypass (CABG). La PCI tuvo menor riesgo de accidente cerebrovascular temprano pero mayor riesgo de infarto de miocardio y necesidad de nueva revascularización a cinco años, en forma independiente de la presencia de SCA. JAMA Cardiology, 31 de mayo de 2023.

Tolerabilidad de los diuréticos a la hora de acostarse: un análisis de cohorte prospectivo

08 junio 2023

Cambiar los diuréticos a la hora de acostarse promovió la nocturia, pero solo el 15,6 % consideró que la nocturia era una carga importante. A los 6 meses, el 77,3% de los usuarios de diuréticos cumplieron con la dosis a la hora de acostarse. El uso de diuréticos a la hora de acostarse es viable para muchos pacientes hipertensos, en caso de que esté clínicamente indicado.  BMJ Open, 6 de junio de 2023

Categorias

Etiquetas