Farmacología

Cirugía axilar en el cáncer de mama: resultados primarios del ensayo INSEMA

19 diciembre 2024

En este ensayo en el que participaron pacientes con cáncer de mama invasivo T1 o T2 sin afectación de los ganglios linfáticos (el 90 % con cáncer T1 clínico y el 79 % con cáncer T1 patológico), la omisión de la estadificación axilar quirúrgica no fue inferior a la biopsia del ganglio linfático centinela después de una mediana de seguimiento de 6 años. New England Journal of Medicine, 12 de diciembre de 2024.

Uso de inhibidores del SGLT2 o de la DPP-4 como terapia complementaria y riesgo de eventos quirúrgicos por enfermedad arterial periférica

04 diciembre 2024

En este estudio de cohorte retrospectivo se compara el riesgo de un resultado compuesto de cirugía por enfermedad arterial periférica (EAP), incluidos los procedimientos de revascularización periférica y amputación, entre los nuevos usuarios de inhibidores del cotransportador de sodio-glucosa 2 (SGLT2i) y los de inhibidores de la dipeptidil peptidasa 4 (DPP-4i), observando mayor incidencia con los SGLT2i (HRa 1,18 [IC95 %: 1,08-1,29]). Diabetes Care, 2 de diciembre de 2024.

Calidad de la evidencia que apoya las guías de práctica clínica en cirugía general. Metanálisis

25 noviembre 2024

En esta evaluación de las guías de práctica clínica en cirugía general, encontramos que una minoría de todas las recomendaciones estaban respaldadas por evidencia de alta calidad, mientras que casi la mitad de todas las recomendaciones y más de un tercio de las recomendaciones sólidas estaban respaldadas por evidencia de baja o muy baja calidad. Las prácticas relacionadas con la fase intraoperatoria de la atención, como la elección o el momento de la operación, están menos respaldadas por evidencia de alta calidad que las prácticas relacionadas con la atención perioperatoria, como el manejo del dolor o la anestesia, o la atención no quirúrgica. Este hallazgo sugiere la necesidad de priorizar la generación de evidencia para abordar la toma de decisiones intraoperatorias.  JAMA Surg, 20 de noviembre de 2024.

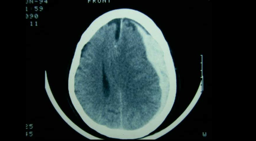
Embolización de la arteria meníngea media en el hematoma subdural subagudo o crónico

21 noviembre 2024

Tres ensayos clínicos exploran la utilidad de la embolización de esta arteria en el manejo del hematoma subdural subagudo o crónico, con miras a reducir la tasa de recurrencias y la necesidad de nuevas intervenciones. New England Journal of Medicine, 20 de noviembre de 2024.

Herramientas clínicas para evaluar la capacidad funcional durante la evaluación de riesgos antes de una cirugía electiva no cardíaca

13 noviembre 2024

Aunque se han estudiado varias herramientas para la evaluación de la capacidad funcional preoperatoria, la investigación se ha centrado abrumadoramente en la prueba de ejercicio cardiopulmonar y solo en un aspecto de la validez (la validez predictiva). Siguen existiendo importantes lagunas de evidencia sobre la evaluación funcional preoperatoria de las poblaciones vulnerables con obesidad, artritis y discapacidad física. Annals of Internal Medicine, 12 de noviembre de 2024.

Categorias

Etiquetas