Farmacología

Necrólisis Epidérmica Tóxica: Revisión Clínica y Terapéutica

07 diciembre 2022

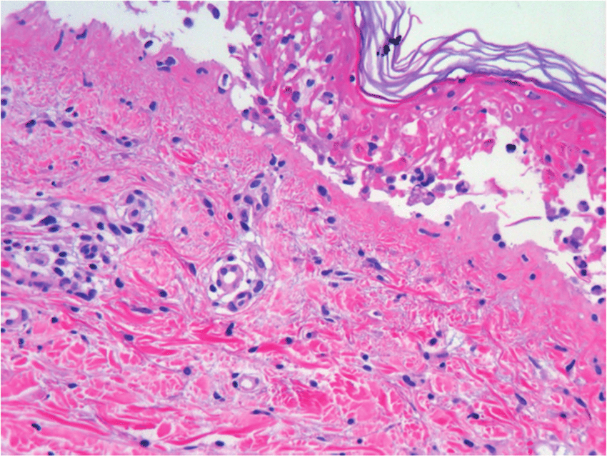
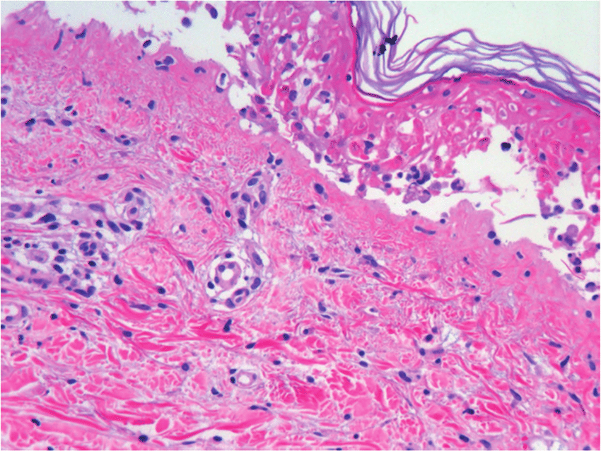
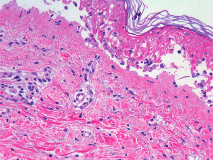
En general, su etiología y presentación son consensuadas, definiéndose como una necrólisis generalizada de la epidermis que se produce como una respuesta inmune descontrolada a un fármaco específico o a uno de sus metabolitos, destacando el cotrimoxazol y el alopurinol como los más importantes. Esta necrólisis conduce a un desprendimiento masivo de la capa epidérmica de la piel, con mayor incidencia en el torso, miembros superiores y cara. Eur. Burn J. 8 agosto 2022

"Los medicamentos y la piel" Una revisión concisa de las reacciones adversas cutáneas a los medicamentos

17 agosto 2022

La enfermedad de la piel inducida por fármacos o las reacciones cutáneas adversas a fármacos (RAMc) son términos que engloban las manifestaciones clínicas de la piel, las mucosas y los anexos inducidas por un fármaco o sus metabolitos. El reconocimiento de una reacciones cutáneas adversas a fármacos específica dependerá principalmente de la capacidad del médico para realizar un examen clínico detallado, la descripción adecuada de la morfología de las lesiones cutáneas y los hallazgos de laboratorio y/o biopsia de piel que respalden. Br J Clin Pharmacol, 16 de agosto de 2022

Farmacovigilancia de reacciones adversas cutáneas a medicamentos en asociación con medicamentos y condiciones médicas: un estudio retrospectivo de pacientes hospitalizados

16 agosto 2022

Los síntomas de reacción adversa cutánea a medicamentos inducidos por medicamentos se asocian comúnmente con otras reacciones adversas a medicamentos, predominantemente erupciones cutáneas y prurito, y a menudo se acompañan de algunas afecciones médicas, especialmente daño hepático y renal. La atención detallada de las enfermedades primarias, el historial de alergias y el perfil de seguridad de los medicamentos de un paciente podría ayudar a prevenir o revertir la reacción adversa cutánea a medicamentos en la mayoría de los pacientes. BMC Pharmacol Toxicol  10 de agosto de 2022

Reacciones adversas cutáneas graves asociadas a la ivermectina sistémica: un análisis de farmacovigilancia

28 abril 2022

Este estudio sugiere que la ivermectina se asocia con SCAR en raras ocasiones. Los dermatólogos deben ser conscientes de esto dado el aumento del uso indebido de ivermectina. J Dermatol . 27 de abril de 2022

Isotretinoína: demasiados embarazos aún en riesgo

25 abril 2022

A pesar de una serie de medidas, los niños por nacer siguen estando expuestos a la isotretinoína durante el embarazo, con riesgo de sufrir malformaciones graves y/o trastornos neuropsiquiátricos. Prescrire International, 1 de abril de 2022

Categorias

Etiquetas