Farmacología

Duración del tratamiento antibiótico guiada por biomarcadores para pacientes hospitalizados con sospecha de sepsis

16 diciembre 2024

Este ensayo explora si los pacientes adultos gravemente enfermos hospitalizados por sospecha de sepsis y tratados con antibióticos intravenosos basados ​​en protocolos de procalcitonina (PCT) o proteína C reactiva (PCR), obtienen una reducción segura en la duración del tratamiento en comparación con la atención estándar. Encontraron que el protocolo diario guiado por PCT redujo la duración total del antibiótico y tuvo una mortalidad por todas las causas no inferior en comparación con la atención estándar, pero no se encontraron diferencias con el protocolo guiado por PCR. JAMA, 9 de diciembre de 2024.

Revisión sistemática y metanálisis del nivel terapéutico de la vancomicina para el tratamiento de las infecciones enterocócicas sensibles a la vancomicina

11 diciembre 2024

El uso de una concentración más alta del área bajo la curva y la concentración inhibitoria mínima (AUC/CMI) de vancomicina puede ser eficaz para reducir la mortalidad a los 30 días y el fracaso clínico, pero esto debe tener en cuenta el riesgo de nefrotoxicidad. Se justifican estudios prospectivos bien realizados debido a la escasez de evidencia. Br J Clin Pharmacol.  8 diciembre 2024

Prescripción conjunta de metotrexato en dosis bajas y trimetoprima-sulfametoxazol y riesgo de muerte a los 30 días en adultos mayores

10 diciembre 2024

En adultos mayores que toman metotrexato en dosis bajas, la prescripción conjunta de TMP-SMX frente a una cefalosporina no se asoció con un mayor riesgo de muerte a los 30 días, pero sí con un mayor riesgo de hospitalización por cualquier causa y de ingreso hospitalario con infección persistente a los 30 días. Si se confirman, estos riesgos deben sopesarse frente a los beneficios de la prescripción conjunta de TMP-SMX y metotrexato en dosis bajas. Br J Clin Pharmacol. 8 de diciembre de 2024

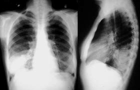
Relación entre los resultados de la radiografía de tórax y el inicio del tratamiento antibiótico en el tratamiento de la neumonía adquirida en la comunidad por médicos generales

04 diciembre 2024

En los pacientes con sospecha de neumonía adquirida en la comunidad (NAC), los médicos de cabecera tuvieron sistemáticamente en cuenta los resultados de las pruebas de respuesta positiva para iniciar el tratamiento antibiótico y tuvieron mucho menos en cuenta las pruebas de respuesta negativa. Estos resultados justifican la aclaración de qué se debe hacer en los casos de sospecha clínica de NAC sin confirmación radiológica. The Annals of Family Medicine, noviembre de 2024,

Meningitis (bacteriana) y enfermedad meningocócica: resumen del reconocimiento, diagnóstico y tratamiento de las directrices actualizadas de NICE

03 diciembre 2024

La identificación de combinaciones de signos y signos de alerta debe aumentar el índice de sospecha de meningitis bacteriana o enfermedad meningocócica. Un responsable de la toma de decisiones clínicas debe realizar una evaluación inicial y asegurarse de que los antibióticos comiencen dentro de 1 hora después de que la persona llegue al hospital. Revisar a las personas que han tenido meningitis bacteriana o enfermedad meningocócica dentro de las 4 a 6 semanas posteriores al alta hospitalaria. En este artículo, se resumen algunas recomendaciones relacionadas con el reconocimiento precoz de estas afecciones, el momento de las investigaciones, el inicio del tratamiento antibiótico y el seguimiento. BMJ   27 de noviembre de 2024

Categorias

Etiquetas