Farmacología

Prevención de la recurrencia de adenomas colónicos esporádicos

26 noviembre 2018

En un ensayo clínico con diseño factorial se encontró que ni el tratamiento con ácido eicosapentaenoico ni la aspirina lograron una reducción de la recurrencia de adenomas colorrectales The Lancet, 19 de noviembre de 2018

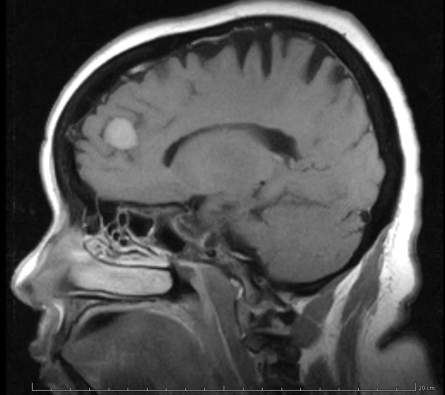
Hallazgos incidentales en resonancia magnética

26 noviembre 2018

Se revisa la frecuencia y la gravedad de los hallazgos inesperados en resonancias de cerebro, tórax y abdomen. British Medical Journal, 22 de noviembre de 2018

Variabilidad en la prescripción de fármacos con efectividad incierta. El caso de SYSADOA en el País Vasco.

23 noviembre 2018

GMS Health Technol Assess 2018 La incertidumbre en torno a estos medicamentos podría reflejarse en la variabilidad existente de su nivel de prescripción. El análisis de la variabilidad en la prescripción de medicamentos sin eficacia demostrada podría ayudar a asignar recursos a otros servicios o tecnologías de salud respaldados por evidencia, contribuyendo así a la mejora de los resultados de salud.

Efecto de la privación socioeconómica sobre los factores de estilo de vida poco saludables ampliados y resultados de salud

23 noviembre 2018

Lancet Public Health, 19 de noviembre de 2018 Las combinaciones de factores de estilo de vida ampliados están asociadas con daños desproporcionados en poblaciones desfavorecidas. Son necesarias políticas sociales y fiscales que reduzcan la pobreza, junto con la salud pública y las intervenciones a nivel individual que aborden una gama más amplia de factores de estilo de vida en áreas de privación.

Medicina defensiva: finalmente es hora de frenar una epidemia.

23 noviembre 2018

World J Clin Cases. 2018 desde nuestro punto de vista, el crecimiento de la medicina defensiva debe verse en el contexto de grandes cambios en la concepción de la medicina que se han producido en los últimos años, socavando la confianza del paciente, que tradicionalmente ha sido la principal fuente de satisfacción profesional. para los médicos.

Categorias

Etiquetas