Farmacología
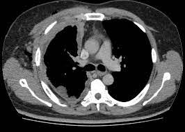
Quimioterapia con o sin decorticación con pleurectomía extendida para el mesotelioma
                    13 mayo 2024
                
            
            En pacientes con con mesotelioma pleural resecable la quimioterapia asociada con una decorticación con pleurectomía extendida se asoció con una peor supervivencia a 2 años y eventos adversos más graves que la quimioterapia sola. The Lancet Respiratory Medicine 10 de mayo de 2024.
Dejar de fumar después del fracaso del tratamiento inicial con vareniclina o reemplazo de nicotina: ensayo clínico aleatorizado
                    08 mayo 2024
                
            
            Para las personas que fumaron pero no lograron la abstinencia después del tratamiento con vareniclina, aumentar la dosis mejoró la abstinencia versus continuar, mientras que para los no abstinentes inicialmente tratados con terapia combinada de reemplazo de nicotina, un aumento de la dosis o el cambio a vareniclina mejoró la abstinencia y pueden ser estrategias de rescate viables. JAMA, 2 de mayo de 2024
Enfermedad pulmonar intersticial. Revisión
                    24 abril 2024
                
            
            La enfermedad pulmonar intersticial típicamente se presenta con disnea de esfuerzo y puede progresar a insuficiencia respiratoria. El tratamiento de primera línea incluye nintedanib o pirfenidona para la fibrosis pulmonar idiopática y micofenolato de mofetilo para la enfermedad pulmonar intersticial (EPI) debida a una enfermedad del tejido conectivo. Se debe considerar el trasplante de pulmón en pacientes con EPI avanzada. En pacientes con EPI, el entrenamiento físico mejora la distancia de la prueba de caminata de 6 minutos y la calidad de vida. JAMA. 22 de abril de 2024
Diagnóstico inadecuado de neumonía entre adultos hospitalizados
                    26 marzo 2024
                
            
            En este estudio de cohorte, el diagnóstico inadecuado de neumonía adquirida en la comunidad (NAC) entre los adultos hospitalizados fue común, particularmente entre los adultos mayores, aquellos con demencia y aquellos que presentaban un estado mental alterado. El tratamiento completo con antibióticos en personas diagnosticadas inadecuadamente con NAC puede ser perjudicial. JAMA Intern Med. 25 de marzo de 2024
Tratamiento de la hipertensión pulmonar: un metanálisis en red de los datos individuales
                    01 marzo 2024
                
            
            