Farmacología

Prevención de la migraña episódica mediante tratamientos farmacológicos

05 febrero 2025

En esta guía, el ACP hace recomendaciones para que los médicos inicien monoterapia para la prevención de la migraña episódica en adultos no embarazadas en el ámbito ambulatorio, así como enfoques alternativos si los tratamientos iniciales no se toleran o dan como resultado una respuesta inadecuada. Las 3 recomendaciones del ACP tienen una solidez condicional y evidencia de certeza baja. Las consideraciones clínicas proporcionan un contexto adicional para los médicos. Annals of Internal Medicine, 4 de febrero de 2025.

Resultados sobre la función cerebral del consumo reciente y del uso a lo largo de la vida de cannabis

29 enero 2025

En este estudio de adultos jóvenes, los antecedentes de uso intensivo de cannabis a lo largo de la vida se asociaron con una menor activación cerebral durante una tarea de memoria de trabajo. Estos hallazgos identifican resultados negativos asociados con el uso intensivo de cannabis a lo largo de la vida y la memoria de trabajo en adultos jóvenes sanos que pueden ser duraderos. JAMA Network Open, 28 de enero de 2025.

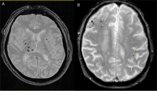
Enfermedad de los vasos cerebrales pequeños en la mediana edad y función cognitiva en etapas posteriores de la vida

20 enero 2025

La presencia de enfermedad de vasos cerebrales pequeños en la resonancia magnética de adultos asintomáticos se asoció de manera independiente con un deterioro del funcionamiento ejecutivo durante un período de seguimiento de 8 años en esta población general coreana de edad mediana a avanzada. The Lancet Regional Health Western Pacific, febrero de 2025.

Trombolíticos intraarteriales después de la reperfusión endovascular  en el ACV isquémico agudo por oclusión de un vaso grande: dos nuevos ensayos clínicos

15 enero 2025

La intervención precoz en el accidente cerebrovascular (ACV) isquémico de grandes vasos que permite realizar una trombectomía exitosa no consigue sin embargo evitar las secuelas neurológicas en todos los pacientes. Por ese motivo se exploró el agregado de trombolisis intraarterial posterior a la trombectomía. Dos estudios de diseño similar, publicados en forma conjunta en JAMA, utilizaron respectivamente tenecteplasa  y uroquinasa luego de una trombectomía cmpleta o casi completa, pero los resultados no mostraron beneficio significativo de la intervención. JAMA, 13 de enero de 2025.

Una herramienta para predecir la aparición de deterioro cognitivo leve y demencia de Alzheimer

13 enero 2025

En este estudio de pronóstico que utilizó datos de 3787 pacientes, se desarrolló y validó el Índice de Demencia de Florey (FDI) para predecir la aparición de deterioro cognitivo leve (DCL) y enfermedad de Alzheimer (EA). Se encontró que el FDI puede predecir con precisión la edad de aparición del DCL y de la EA, lo que podría permitir desarrollar un plan de atención para la demencia. JAMA Network Open, 8 de enero de 2025.

Categorias

Etiquetas