Farmacología

Interrupción del tratamiento modificador de la enfermedad de primera línea en pacientes con esclerosis múltiple estable

18 diciembre 2024

En este ensayo clínico aleatorizado de pacientes con esclerosis múltiple (EM) estable durante más de 5 años, la interrupción de la terapia farmacológica de primera línea puede provocar la recurrencia de la actividad de la enfermedad. Aunque esta cohorte de estudio fue relativamente pequeña, la recurrencia de la inflamación en el grupo de interrupción fue significativamente mayor que en el grupo de continuación y también mayor que en el ensayo DISCOMS publicado anteriormente, que solo incluyó a personas de 55 años o más. JAMA Neurology, 9 de diciembre de 2024.

Carga anticolinérgica en pacientes con enfermedad renal crónica: patrones, factores de riesgo y vínculo con el deterioro cognitivo

12 diciembre 2024

Las personas con enfermedad renal crónica (ERC) tienen un riesgo elevado de deterioro cognitivo. Los medicamentos con actividad anticolinérgica son conocidos por sus reacciones adversas sobre el sistema nervioso central. La posible asociación entre la carga anticolinérgica y el deterioro cognitivo no se ha evaluado previamente en pacientes con ERC. En este estudio de una cohorte de pacientes con ERC de moderada a grave (dos tercios de los cuales tenían más de 65 años), se prescribieron con frecuencia fármacos anticolinérgicos y persistieron durante todo el período de seguimiento. Los pacientes con una alta carga anticolinérgica tuvieron puntuaciones significativamente más bajas en el Mini Mental State Examination (MMSE) y una probabilidad significativamente mayor de presentar deterioro cognitivo que los pacientes sin una carga anticolinérgica. J Am Geriatr Soc. 28 de noviembre de 2024

β-bloqueantes y riesgo de trastornos neuropsiquiátricos:  revisión sistemática y metanálisis

12 diciembre 2024

Nuestros hallazgos sugieren una asociación significativa entre el uso de betabloqueantes y un mayor riesgo de eventos adversos neuropsiquiátricos, en particular insomnio y mareos, con mayores riesgos asociados con el uso de betabloqueantes lipofílicos. Dada la ambigüedad que rodea al mareo y su clasificación como un efecto neuropsiquiátrico, nuestros hallazgos son exploratorios y no podemos excluir un posible origen cardiovascular del mareo. La mayoría de los estudios (75%) se publicaron antes de la declaración CONSORT en 1996, lo que indica posibles limitaciones en la publicación y una falta de investigación reciente. Además, el 60% de los estudios tenían un alto riesgo de sesgo, lo que subraya la necesidad de investigaciones más rigurosas y contemporáneas sobre las implicaciones neuropsiquiátricas del uso de betabloqueantes. Br J Clin Pharmacol, 10 de diciembre de 2024

Deprescripción de los fármacos específicos para la enfermedad de Alzheimer

10 diciembre 2024

En este artículo se revisan las recomendaciones actuales sobre el manejo de estos fármacos y las situaciones en las que desde cualquiera de los niveles asistenciales puede valorarse la retirada del tratamiento. Boletín Farmacoterapéutico de Castilla-La Mancha , SESCAM, diciembre de 2024

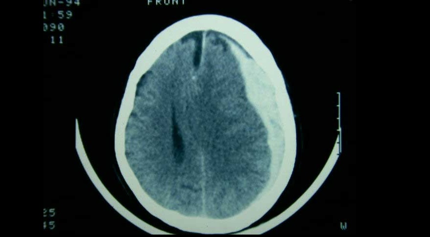
Embolización de la arteria meníngea media en el hematoma subdural subagudo o crónico

21 noviembre 2024

Tres ensayos clínicos exploran la utilidad de la embolización de esta arteria en el manejo del hematoma subdural subagudo o crónico, con miras a reducir la tasa de recurrencias y la necesidad de nuevas intervenciones. New England Journal of Medicine, 20 de noviembre de 2024.

Categorias

Etiquetas