Farmacología

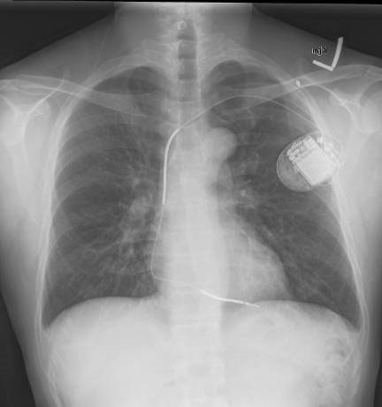
El cardiodesfibrilador implantable profiláctico no disminuyó la mortalidad en insuficiencia cardíaca sistólica de causa no coronaria

28 agosto 2016

Los pacientes estudiados estaban en clase funcional II o III; el 58% tenía colocado un dispositivo de resincronización cardíaca. New England Journal of Medicine, 27 de agosto de 2016

Monitoreo de la función plaquetaria en ancianos con stent coronario: no mejoró los resultados

27 agosto 2016

Una estrategia de ajustar el tratamiento antiagregante según los resultados de función plaquetaria no disminuyó las complicaciones hemorrágicas ni los eventos vasculares. The Lancet, 26 de agosto de 2016

Encuentran nueva asociación entre el exceso de peso y ocho tipos de cáncer

26 agosto 2016

La Agencia Internacional para la Investigación sobre el Cáncer actualizó sus conclusiones sobre la relación del sobrepeso y la obesidad con diferentes tipos de neoplasias New England Journal of Medicine, 25 de agosto de 2016

El alto costo de los nuevos medicamentos

25 agosto 2016

Por qué el gobierno debe negociar un mejor trato para la investigación financiada con fondos públicos BMJ, 27 de julio de 2016

Categorias

Etiquetas